找回密码
 注册

穿孔性憩室炎-IV 期 Hinchey 分类

作者:大江 | 时间:2025-4-17 10:00:02 | 阅读:403| 显示全部楼层
表现
患者出现腹痛三天。

患者数据
年龄:40 岁
性别:女
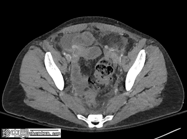
CT
1.png
轴向 C+ 门静脉期

2.png
冠状 C+ 门静脉期

3.png
矢状 C+ 门静脉期
乙状结肠壁增厚且衰减降低,存在多个憩室

乙状结肠附近有气腹气泡,以及腔外粪便

弥漫性气腹

腹腔内游离液体,腹膜层增厚,提示有腹膜炎

发现符合穿孔性憩室炎(IV 期改良 Hinchey 分类)。

肠管扩张,口径无变化,可能是反应性无动力性肠梗阻

结肠壁弥漫性增厚,造影增强,可能是反应性结肠炎

病例讨论
本例患者为一名年轻女性,出现弥漫性腹痛。虽然这种疼痛可能有多种原因,但 CT 成像显示有复杂的穿孔性憩室炎(粪便性腹膜炎 - IV 期,改良 Hinchey 分类),手术证实了这一点。
您需要登录后才可以回帖 登录 | 注册
Copyright © 2011-2026 东莞市珍屯医疗科技有限公司Powered by zhentun.com
返回顶部