找回密码
 注册

空肠憩室炎

作者:大江 | 时间:2025-4-20 10:00:01 | 阅读:347| 显示全部楼层
表现
1 天中腹痛病史。明显压痛。炎症标志物升高。?穿孔

患者数据
年龄:75 岁
性别:女
CT
1.jpg
轴向 C+ 门静脉期

2.jpg
冠状 C+ 门静脉期

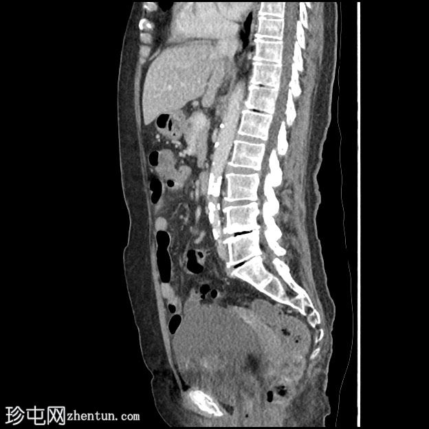
3.jpg
矢状 C+ 门静脉期
发现

小肠系膜内急性炎症过程,脂肪密度增加,肠系膜充血。多个小囊状游离气体表明肠道穿孔。小体积聚液体,边缘增强。相邻小肠可能继发(反应性)增厚。小肠对系膜边界出现多个憩室。肠系膜血管正常增强。无并发症的结肠憩室病。

结论

发现符合急性小肠憩室炎伴局部穿孔。

先前研究
CT
4.jpg
轴向 C+ 门静脉期

5.jpg
冠状 C+ 门静脉期

6.jpg
矢状 C+ 门静脉期
在轻度急性乙状结肠憩室炎发作期间的先前影像显示,空肠系膜边界出现大量大型充满气体的憩室。

病例讨论
仔细检查腹部 CT 并报告空肠憩室病(作为偶然发现)非常重要,因为它可以确保将空肠憩室炎作为未来表现的关键鉴别诊断,也有助于解释后续影像。它们来自空肠系膜边界(比回肠更多),可能含有空气、液体或由于内容物淤滞而产生的粪便状物质。
您需要登录后才可以回帖 登录 | 注册
Copyright © 2011-2026 东莞市珍屯医疗科技有限公司Powered by zhentun.com
返回顶部