找回密码
 注册

睾丸生殖细胞肿瘤

作者:大江 | 时间:2025-4-18 10:00:02 | 阅读:363| 显示全部楼层
介绍
患者因右侧睾丸疼痛和肿胀三天来到急诊室。

患者数据
年龄:30 岁
性别:男
右侧睾丸
超声
1.png
纵向

2.png
纵向
右侧睾丸的灰阶超声图像显示睾丸纵隔区域内有一簇粗钙化和一个小的低回声区域。彩色多普勒成像未发现异常血管。

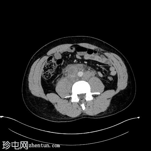
腹部和骨盆
CT
3.jpg
轴向 C+ 门静脉期

4.jpg
冠状 C+ 门静脉期
腹膜后淋巴结肿大,包括一些坏死淋巴结,高度怀疑有淋巴结转移。

病例讨论
坏死性腹膜后淋巴结肿大,睾丸内钙化,位于一个小的低回声区域内,高度怀疑这名年轻患者患有烧毁性睾丸肿瘤

腹膜后淋巴结活检证实了转移性生殖细胞肿瘤的诊断,原发表现为伴有坏死的胚胎癌。

睾丸内的钙化簇也可能代表静脉石、精子肉芽肿、血管钙化区域、先前创伤或先前坏死的后遗症。
您需要登录后才可以回帖 登录 | 注册
Copyright © 2011-2026 东莞市珍屯医疗科技有限公司Powered by zhentun.com
返回顶部