找回密码
 注册

肋骨ORIF-3D肋骨夹

作者:大江 | 时间:2025-4-20 10:00:01 | 阅读:333| 显示全部楼层
就诊情况
先前在外部医疗机构接受肋骨切开复位内固定 (ORIF) 后进行的 X 光检查。先前曾遭受高速摩托车事故造成的多发性创伤。

患者资料
年龄:50 岁
性别:男
X 光片
1.jpg
正面

2.jpg
侧面

3.jpg
正面

4.jpg
斜位
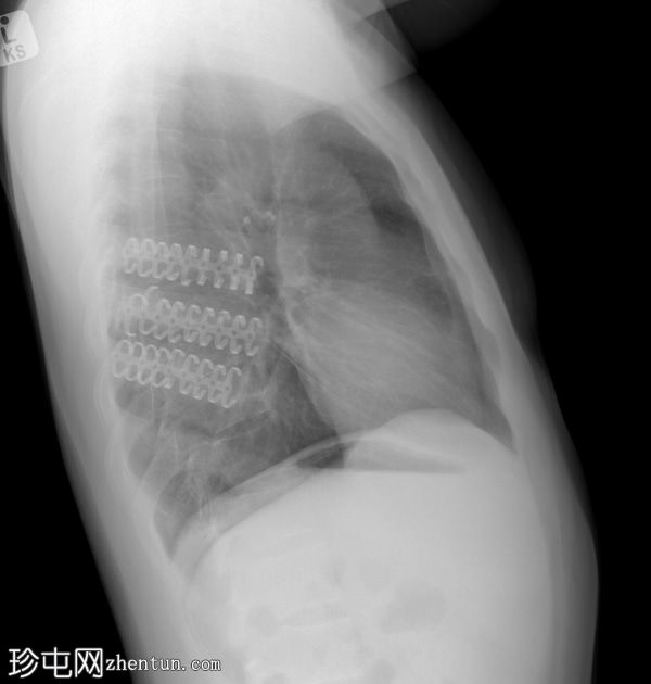
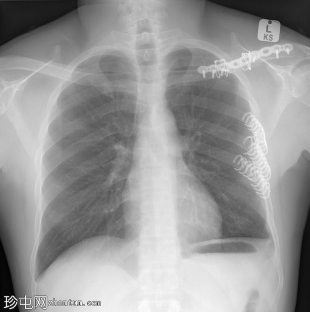
左侧锁骨已行 ORIF,远端骨折处采用钢板、螺钉及钢丝环扎固定,伴有持续性皮质台阶状缺损。

3D 肋骨夹正下方固定左侧第 5 至第 7 肋骨。骨性愈合良好,对位良好。

先前创伤和血胸导致左侧膈肌轮廓消失,肋膈角残留。

病例鸣谢:DH Jogi 医生。

病例讨论
本病例为高速摩托车事故后,使用3D钛肋骨夹固定先前移位的左肋骨骨折的病例。

肋骨夹是MedXpert的产品。为了方便易用,它们有6、9或13段可选。它们无需切割长度,不分左右肋骨,并且由于其固有的可塑性,可以轻松塑形。

肋骨骨折的切开复位内固定(ORIF)并不常见。它适用于肋骨明显移位、持续性顽固性疼痛伴多处肋骨骨折以及连枷胸(包括放射学和临床上的连枷胸)的情况。
您需要登录后才可以回帖 登录 | 注册
Copyright © 2011-2026 东莞市珍屯医疗科技有限公司Powered by zhentun.com
返回顶部