找回密码
 注册

肝泡型包虫病

作者:大江 | 时间:2025-8-24 15:00:12 | 阅读:160| 显示全部楼层
表现
右上腹疼痛、发热、呕吐、恶心、厌食和乏力

患者资料
年龄:55岁
性别:女
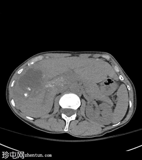
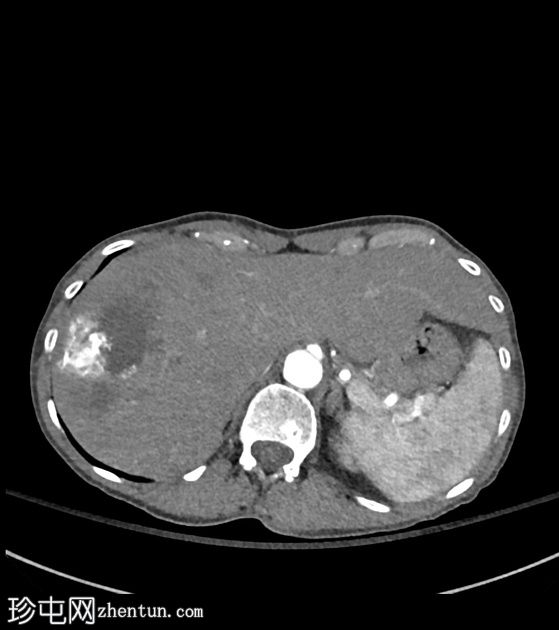
CT扫描
1.jpeg
轴向
非造影

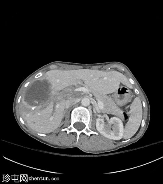
2.jpeg
轴向C+期
动脉期

3.jpeg
轴向C+期
门静脉期
肝段VIII区中心可见一囊性坏死灶,边缘不规则,周围可见粗钙化,造影后无明显强化。轻度包膜回缩及邻近灌注改变。肝穹窿内可见其他较小的卫星囊性灶和多处粗钙化。肝门部可见浸润性组织,部分钙化,导致门静脉轻度狭窄和右侧肝内胆管轻度扩张。

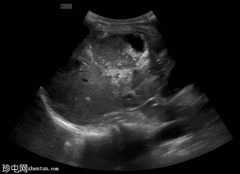
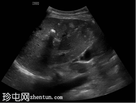
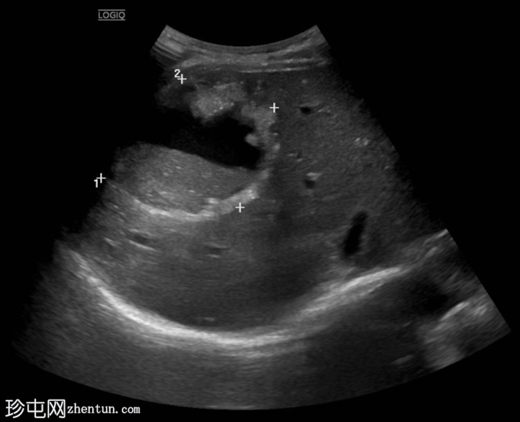
超声检查
4.png
纵向

5.png
纵向

6.png
纵向
位于肝段VIII中心的异质性肿块,其特征为不规则的高回声边缘、内部粗钙化以及中心低回声至无回声的液-液平面。还可见多个较小、边界清晰的高回声卫星灶。

病例讨论
CT表现符合肝泡包虫病。

影像学表现最初提示需进行鉴别诊断,包括寄生虫感染和肿瘤病变。患者接受了经皮穿刺引流和细针穿刺,以取出中心坏死组织,并对邻近结节部分进行活检。细胞病理学和活检排除恶性细胞,培养证实克雷伯菌重叠感染。

血清学检测显示抗多房棘球绦虫抗体阳性,证实了诊断。细粒棘球蚴 IgG 抗体滴度低于 1:320,排除囊型棘球蚴病(包虫囊肿)。

肝泡型棘球蚴病是由多房棘球蚴引起的一种罕见且侵袭性较强的包虫病。与通常形成边界清晰、包膜内囊性病变的细粒棘球蚴不同,多房棘球蚴会产生边界不清的浸润性肿块,类似于恶性肿瘤,并经常侵犯肝实质和邻近结构,尤其是在肝门处。
您需要登录后才可以回帖 登录 | 注册
Copyright © 2011-2026 东莞市珍屯医疗科技有限公司Powered by zhentun.com
返回顶部