找回密码
 注册

有症状的双分舟骨

作者:大江 | 时间:2025-9-18 14:00:00 | 阅读:160| 显示全部楼层
表现
慢性中足疼痛

患者资料
年龄:30岁
性别:男
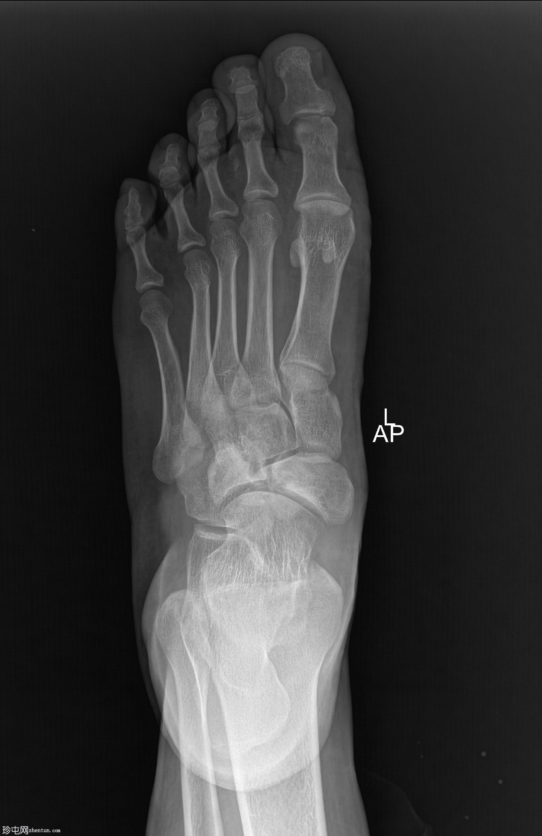
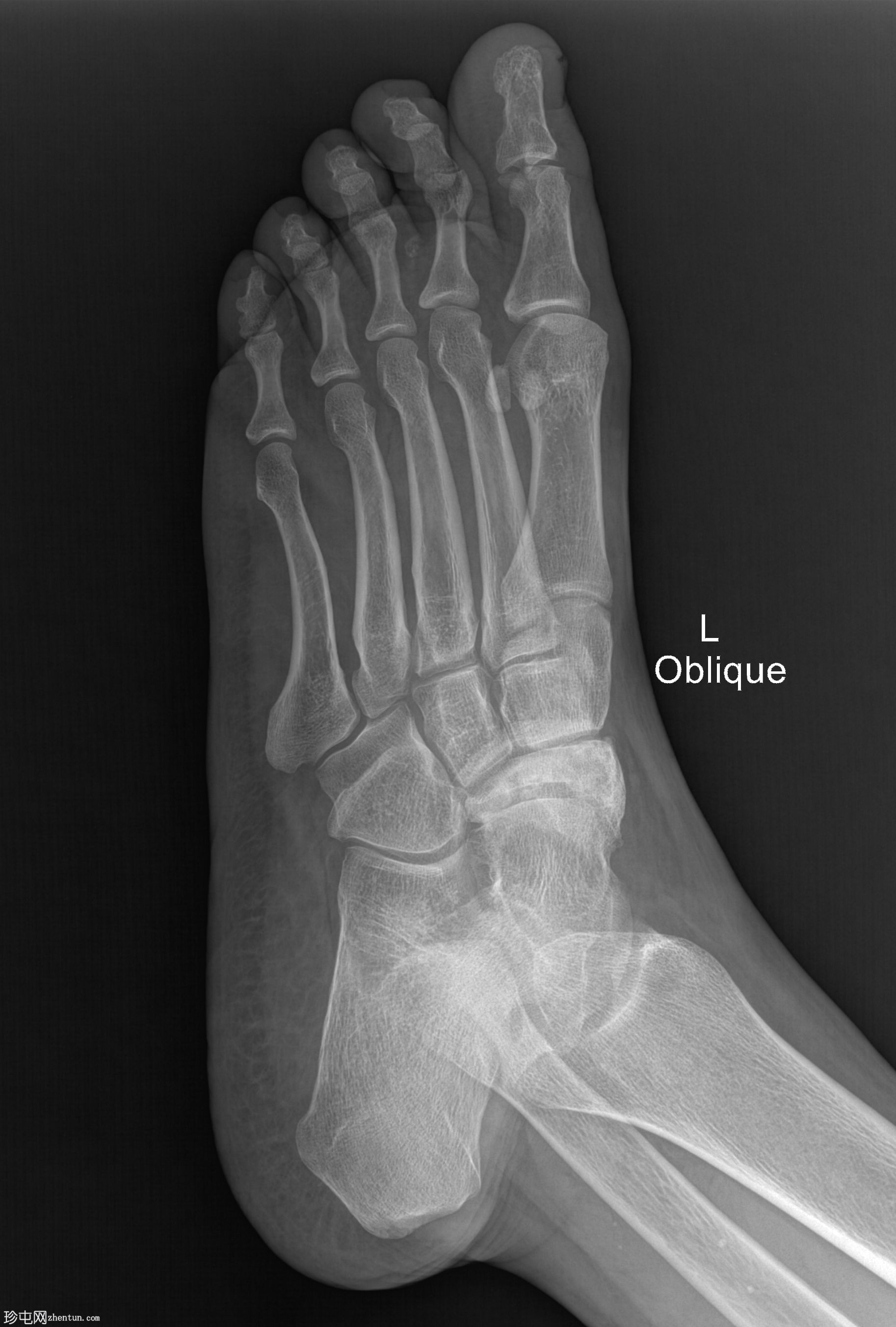
X光片
1.jpg
正面

2.jpg
斜面
舟骨呈二分状,由较大的内侧骨块和较小的外侧骨块组成。

内侧骨块呈逗号形。

外侧骨块及其外侧可见斑块状硬化,提示慢性应力相关病变或软骨结合处退行性反应。

邻近的跗骨和关节间隙似乎保存完好。

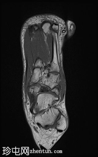
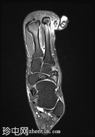
MRI
3.jpg
轴向PD
脂肪饱和度

4.jpg
轴向
T1

5.jpg
轴向
T2

6.jpg
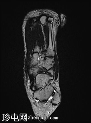
矢状面
PD 脂肪饱和度

7.jpg
矢状面
T2

8.jpg
冠状面
T1

9.jpg
冠状面PD
脂肪饱和度
舟骨呈二分状,分为两个骨块——较大的内侧骨块和较小的外侧骨块。

内侧骨折块外侧面呈“逗号状”,舟骨相对于距骨头轻微向内移位。

外侧骨折块及其外侧均呈斑片状T1低信号和PD FS高信号,并伴有硬化和微小囊肿,提示软骨联合/纤维界面存在慢性应激反应或退行性改变,可能伴有缺血性坏死。

双分舟骨区域外未见急性骨折线或骨髓水肿。

周围跗骨和关节未见明显异常。

未见明显软组织异常或关节积液。

病例讨论
双分舟骨是一种罕见的结构异常,舟骨被分成两个独立的骨折块。患有这种疾病的患者通常会感到足背内侧区域持续疼痛。

这项研究显示,舟骨分为两部分,碎片之间的界面存在慢性应力相关变化,并且可能发生缺血性坏死,这导致患者出现长期中足疼痛的症状。
您需要登录后才可以回帖 登录 | 注册
Copyright © 2011-2026 东莞市珍屯医疗科技有限公司Powered by zhentun.com
返回顶部