找回密码
 注册

铠装气管插管

作者:大江 | 时间:2025-8-30 11:00:06 | 阅读:230| 显示全部楼层
表现
患者接受开颅手术后,现进行术后胸部X光检查,以评估导管和气管的情况。

患者资料
年龄:50岁
性别:女
X光片
1.jpg
正面

2.png
正面

3.png
正面
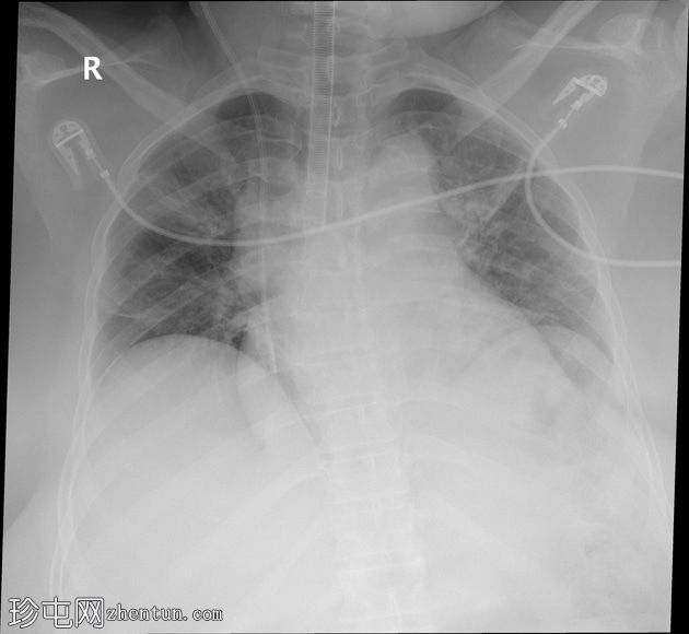
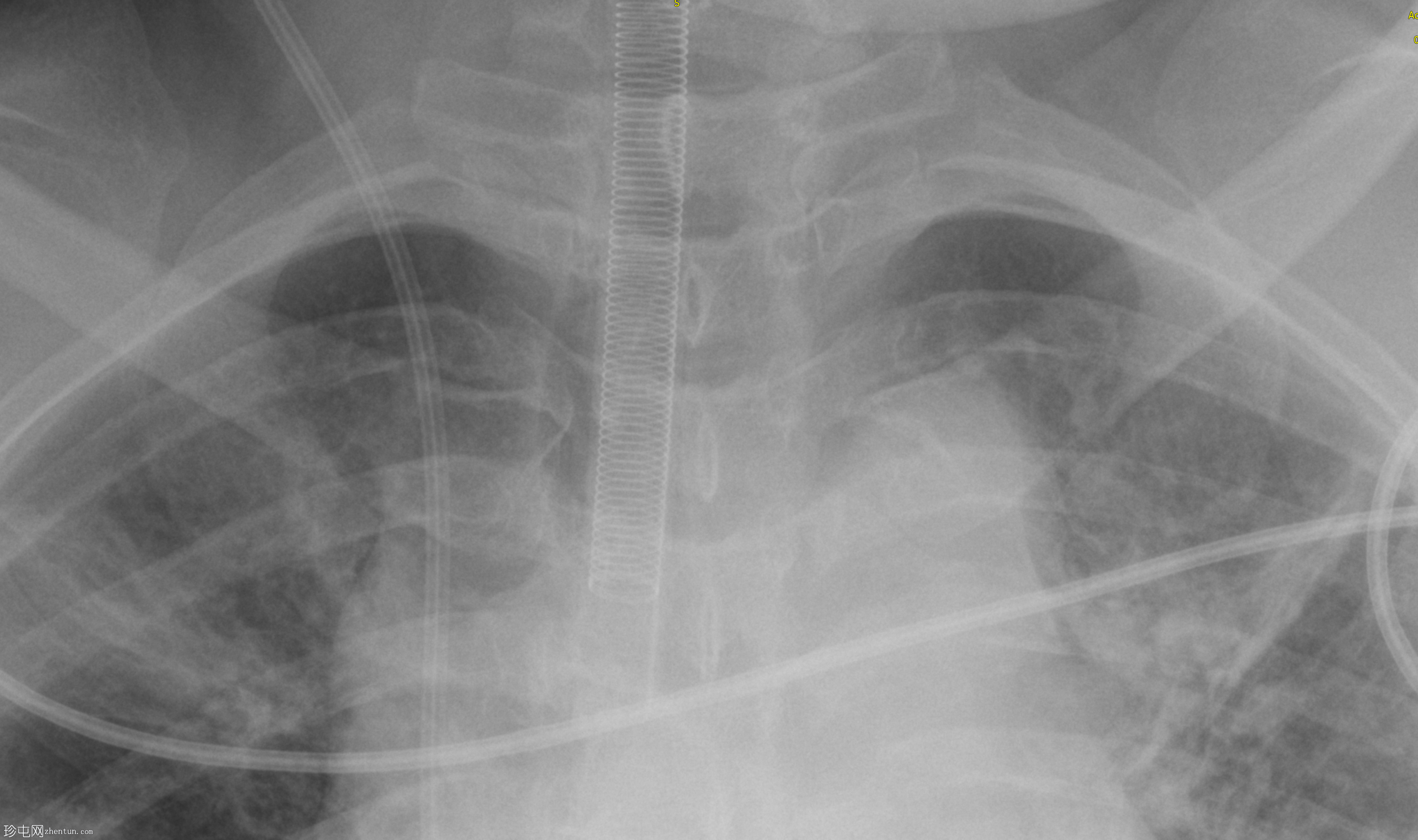
移动式X光片显示患者吸气用力减弱,伴有预期的门充血、支气管血管纹理增多、误吸改变,以及麻醉后肺不张。心脏和纵隔轮廓正常,但图像放大。

装甲气管插管 (ETT) 位置过深,需要回缩。

注意:加强型金属导丝末端靠近气管插管尖端。

右侧颈内静脉通路中心静脉导管尖端位置过深,需要回缩。

存在重叠的心电图导联。

病例讨论
患者接受了后颅窝减压术,术后要求进行胸部X光检查,之后患者才可俯卧位。

铠装或加强型气管导管插入较深,建议回缩。

铠装或加强型气管导管因其柔韧性和强度,常用于颈部和胸部手术,例如本例。

关于加强型或铠装气管导管,重要的教学要点是,导线通常在导管尖端前1-2厘米处结束,例如本例,应仔细检查该处,以评估气管导管尖端的适用性。
您需要登录后才可以回帖 登录 | 注册
Copyright © 2011-2026 东莞市珍屯医疗科技有限公司Powered by zhentun.com
返回顶部