找回密码
 注册

先天性脊柱侧弯

作者:大江 | 时间:2025-9-20 15:00:00 | 阅读:121| 显示全部楼层
病史
出生以来脊柱侧弯。无其他已知先天性畸形。

患者资料
年龄:3岁
性别:男
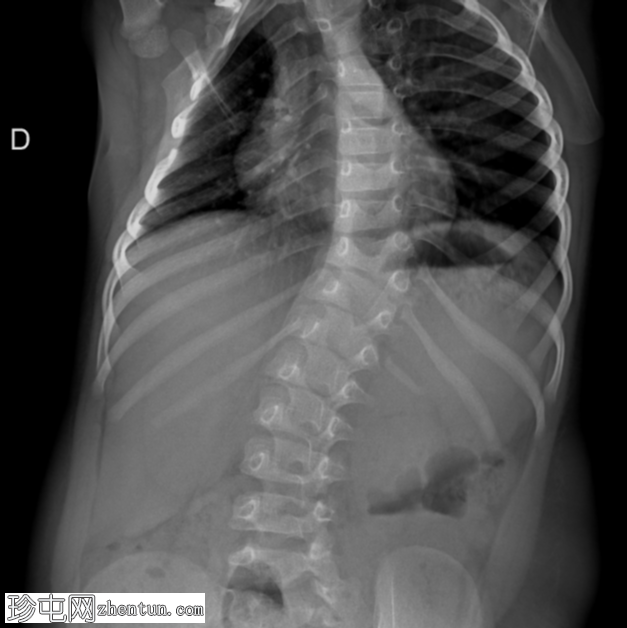
X光片
1.png
先天性脊柱侧弯,伴有右腰椎和左胸椎凸起。

两处先天性椎体异常:

完全分段半椎体

半分段半椎体

病例讨论
先天性成骨性脊柱侧弯,通常称为先天性脊柱侧弯,是指由椎体畸形引起的脊柱侧弯。

本病例存在两种类型的椎体畸形:

半节段半椎体:椎体一半未形成,且与上方或下方椎体融合

(完全)节段半椎体:椎体一半未形成,且未与上方或下方椎体连接

节段半椎体有发展为严重弯曲的可能。在本病例中,另一侧半椎体也位于胸椎弯曲侧,这进一步增加了病情进展的风险。对于此类病例,需要持续随访以了解弯曲的性质及其进展。
您需要登录后才可以回帖 登录 | 注册
Copyright © 2011-2026 东莞市珍屯医疗科技有限公司Powered by zhentun.com
返回顶部