找回密码
 注册

脊椎滑脱 - 及后续治疗

作者:大江 | 时间:2025-9-23 16:00:03 | 阅读:174| 显示全部楼层
就诊情况
慢性腰痛伴左侧神经根病。

患者资料
年龄:60岁
性别:女
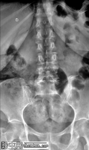
X光片
1.png
正面

2.png
侧面

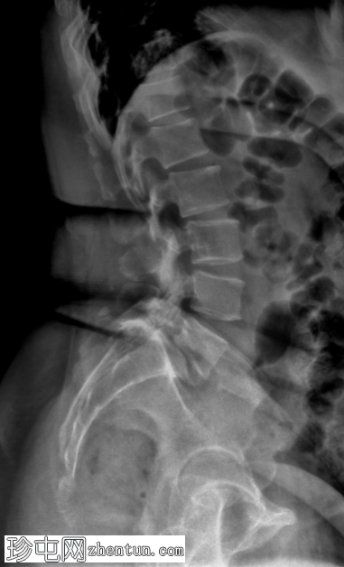
3.png
侧面
(放大)

4.png
伸展
侧面

5.png
屈曲
侧面
L5-S1 椎体II度滑脱。

双侧椎间盘缺损。

L5-S1椎间盘间隙缺失,伴有退行性病变。

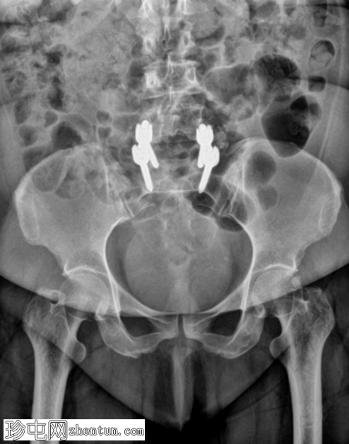
术后
X光片
6.png
正面

7.png
侧面
L5和S1节段间有脊柱内固定器械。

椎弓根螺钉和棒已置入。

病例讨论
脊椎滑脱可根据病因(Wiltse分类)或滑脱程度(Meyerding分类)进行分类。

本病例为退行性脊椎滑脱的典型特征:一位患有椎间盘和小关节退行性病变的老年女性。

脊柱动态成像(屈曲和伸展视图)有助于评估不稳定性,这种不稳定性在退行性脊柱疾病中最为常见。

退行性脊椎滑脱在 L4-L5 节段更为常见。
您需要登录后才可以回帖 登录 | 注册
Copyright © 2011-2026 东莞市珍屯医疗科技有限公司Powered by zhentun.com
返回顶部