找回密码
 注册

胫骨平台骨折-Schatzker IV型

作者:大江 | 时间:2025-9-24 16:00:04 | 阅读:174| 显示全部楼层
就诊
患者从自行车上摔倒,左膝骨折。术后无法行走。静息及膝关节检查时无疼痛

患者资料
年龄:60岁
性别:女
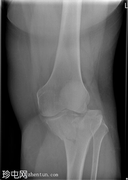
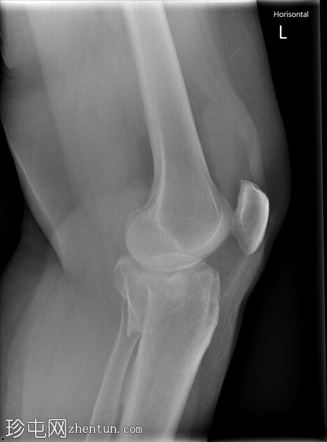
左膝X光片
X光片
1.jpeg
正面

2.jpeg
侧面
胫骨近端内侧骨折,伴有隆起处凹陷和外翻。

Schatzker IV型。左胫骨近端。

3个病例问题
病例讨论
胫骨平台骨折是指胫骨近端关节面受累,并根据Schatzker分型系统¹进行分类。X光片通常可明确诊断;但术前规划通常需要进行CT扫描。此类胫骨平台骨折(Schatzker IV型及以上)通常由高能量创伤引起,例如机动车事故或高处坠落。然而,它们也可能发生在因低能量损伤机制(例如从自行车上摔倒)而导致骨质疏松的老年人身上。胫骨平台骨折通常需要手术治疗,例如ORIF钢板内固定术,很少适合保守治疗。

本病例的创伤机制和症状表现均非典型。对于一位60岁且未确诊骨质疏松症的女性来说,如此低能量的损伤通常不会发生如此严重的骨折。此外,患者自述创伤后,无论是静息状态还是临床检查,均完全没有疼痛。未观察到肿胀、瘀伤或发红等外部损伤征兆。局部神经血管状态完好无损。
您需要登录后才可以回帖 登录 | 注册
Copyright © 2011-2026 东莞市珍屯医疗科技有限公司Powered by zhentun.com
返回顶部