找回密码
 注册

脑瘫的假马德隆畸形

作者:大江 | 时间:2025-9-26 16:00:00 | 阅读:160| 显示全部楼层
就诊情况
痉挛性脑瘫患者,伴有挛缩,表现为右肘肿胀和疼痛

患者资料
年龄:14岁
性别:男
前臂X光片,2个视角 - 右侧
X光片
1.png
侧位

2.png
正面
右侧桡骨弯曲畸形,伴有骨骼发育不良,桡骨远端桡骨倾斜度(尺骨倾斜度)增大,尺骨变异为负值。

腕骨弧形完整,桡骨和尺骨之间无腕骨楔入征兆。

前臂无急性骨折。

周围软组织中度水肿。

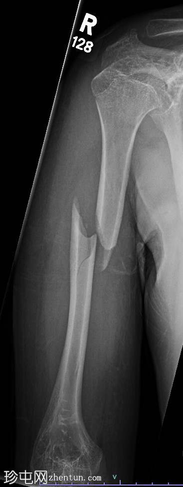
肱骨X光片 - 右侧
X光片
3.png
右肱骨中段骨干粉碎性骨折,伴有外侧移位和内侧成角。

周围软组织明显肿胀和畸形。

病例讨论
假性马德隆畸形与马德隆畸形非常相似,后者是一种罕见的畸形,通常由掌尺桡骨远端骨骺1异常生长停滞引起。

尺骨负向变异通常是区分两者最显著的特征,而创伤后变化很可能导致了本例所呈现的畸形。

目前的证据并未证实脑瘫与马德隆畸形或假性马德隆畸形之间存在明确的关联,这为进一步探讨脑瘫是继发于长期痉挛状态的可能性奠定了基础。
您需要登录后才可以回帖 登录 | 注册
Copyright © 2011-2026 东莞市珍屯医疗科技有限公司Powered by zhentun.com
返回顶部