找回密码
 注册

脂肪瘤性大营养不良症伴神经纤维脂肪瘤性错构瘤

作者:大江 | 时间:2025-9-29 16:00:00 | 阅读:127| 显示全部楼层
病史
患者自幼儿期起即有手部畸形,且病程缓慢进展。

患者资料
年龄:40岁
性别:女
左手
MRI
1.jpeg
冠状位
T2

2.jpeg
冠状位
STIR

3.jpeg
冠状位
T1

4.png
中指矢状位T2
冠状位

5.jpeg
梯度回波
无名指矢状位T2

6.png
冠状位
T1 C+

7.jpeg
轴向
T2

8.png
轴向
STIR

9.png
轴向
T1

10.jpeg
轴向T1
脂肪饱和度

11.png
冠状位T1
C+脂肪饱和度

12.jpeg
轴向T1
C+脂肪饱和度
无名指和中指明显增大。患者掌骨和指骨骨质增生肥大,并伴有周围皮下脂肪过度增生。

支配患指的正中神经掌侧支纤维脂肪瘤性错构瘤。它们在矢状面序列上呈现意大利面条状,在轴位图像上呈现绳索状。

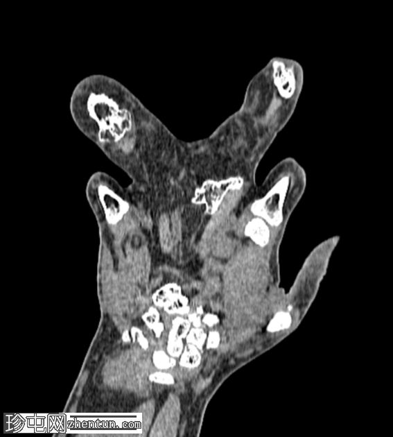
CT
13.jpeg
地形图

14.png
冠状面

15.png
骨窗

16.png
3D VR 表面
渲染

17.png
冠状面
非造影

18.png
3D VR 骨窗
轴位

19.png
非造影
CT 扫描显示骨质过度生长和肥大、皮下脂肪过度生长以及神经纤维脂肪瘤性错构瘤。

病例讨论
脂肪瘤性巨营养不良症 (MDL) 是一种罕见的先天性疾病。该病与 PIK3CA 基因突变有关。病理学上,脂肪瘤性巨营养不良症表现为所有间叶成分增多,脂肪组织过多,以及其他组织,如骨膜、骨髓、神经鞘、肌肉和皮下组织(局部巨人症)。

该病通常与神经纤维脂肪瘤性错构瘤有关。受影响的肢体通常遵循上肢正中神经的分布,就像本例一样。
您需要登录后才可以回帖 登录 | 注册
Copyright © 2011-2026 东莞市珍屯医疗科技有限公司Powered by zhentun.com
返回顶部