首页
Portal
订阅
产品资料
医疗器械
外科训练
医学论坛
BBS
关于我们
联系我们
登录
立即登录
立即注册
其他登录
QQ
微信
搜索
搜索
本版
文章
帖子
用户
本版
文章
帖子
用户
首页
Portal
订阅
产品资料
医疗器械
外科训练
医学论坛
BBS
关于我们
联系我们
账号
自动登录
找回密码
密码
登录
注册
外科
内科
第三
第四
中医
辅助
执业
教育
专区
好友
帖子
收藏
淘帖
分享
记录
留言板
门户
导读
排行榜
设置
我的收藏
退出
珍屯医学
»
医学论坛
›
外科
›
骨科四肢脊柱手外
›
Haglund综合征
返回列表
Haglund综合征
[复制链接]
作者:
大江
|
时间:
2025-10-1 16:00:00
|
阅读:152
|
显示全部楼层
就诊
踝后
疼痛
。
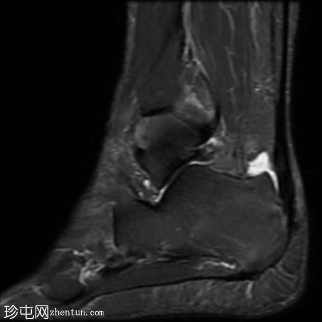
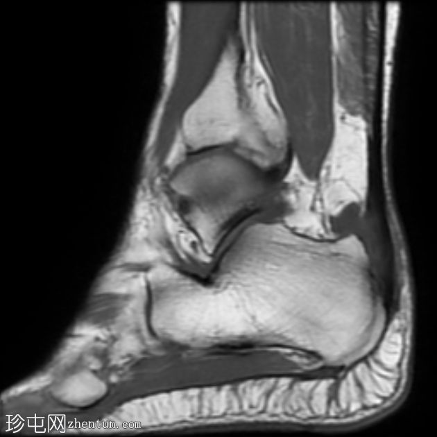
患者资料
年龄:50岁
性别:男
MRI
矢状位
T1
矢状位
T2
矢状位
STIR
轴向
T1
轴向
T2
轴向
STIR
冠状位
梯度回波
跟腱插入
性病
,伴有跟腱明显增厚,可诱发异常信号、跟腱后滑囊炎、跟骨后突及骨髓水肿信号。
Haglund综合征的检查结果令人印象深刻。
跟骨跖骨性骨刺。
病例讨论
Haglund综合征是指以下三联征(Haglund三联征):
跟腱插入性病
跟腱后滑囊炎
Haglund畸形(即跟骨后上外生骨疣)
回复
举报
返回列表
发表新帖
高级模式
B
Color
Image
Link
Quote
Code
Smilies
您需要登录后才可以回帖
登录
|
注册
大江
关注Ta
主题 17557
帖子 16643
积分 42142
此人很懒,什么也没留下。
•
轻松订阅最新动态(简易法)
•
珍屯网“股份”积分策略
•
会员注册规则说明——试行
•
您看好“外资独资办医”吗?欢迎大家投票和讨论
•
为各位医友推荐些好书!可代购
•
无排卵
•
《简明体格检查图解》┊陈清兰,郑智远编著.PDF
•
全国实践技能考试准考证打印一览表
阅读作者更多精彩帖子
热门问答
更多>
0
三角骨骨折
59人围观, 发布于2026-01-30
0
腰骶移行椎(Castellvi 2b 型)
64人围观, 发布于2026-01-31
0
Hill-Sachs 缺陷伴 Bankart 病变
59人围观, 发布于2026-02-01
0
Lisfranc损伤
58人围观, 发布于2026-02-02