找回密码
 注册

桡骨头骨折

作者:大江 | 时间:2025-10-4 16:00:14 | 阅读:168| 显示全部楼层
就诊
右肘损伤。

患者资料
年龄:45岁
性别:男
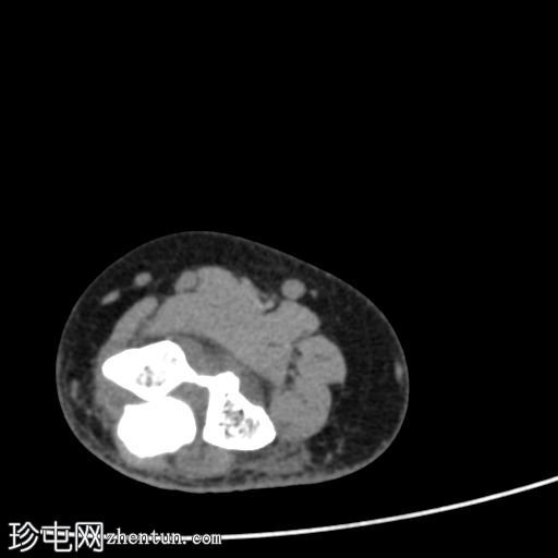
CT扫描
1.jpg
轴向骨窗

2.jpg
轴向软组织窗

3.jpg
冠状面骨窗

4.jpg
矢状面骨窗

5.jpg
3D平扫
显示整个桡骨头粉碎性骨折,特征为两个以上大骨折块,以及倾斜且受压的关节节。

这表明该骨折为不稳定骨折,根据Mason桡骨头骨折分型,为IIIC型。

远端肱骨和可见尺骨未见骨折征象。

此外,由于关节积血导致关节扩张,肘关节脂肪平面弯曲。

病例讨论
Mason 分类用于对桡骨头骨折进行分类:

I 型:无移位骨折(<2 毫米)

II 型:桡骨头边缘段移位或桡骨头颈骨折移位(>2 毫米)

III 型:桡骨头粉碎性骨折或桡骨头颈完全移位

IIIa 型:整个桡骨头颈骨折,桡骨头完全脱离桡骨干

IIIb 型:关节骨折累及整个桡骨头,由两个以上大骨折块组成

IIIc 型:骨折伴有倾斜且受压的关节节

IV 型:肘关节脱位伴桡骨头骨折

对于 Mason IIIc 型骨折,如本例,需要切开复位内固定 (ORIF)。
您需要登录后才可以回帖 登录 | 注册
Copyright © 2011-2026 东莞市珍屯医疗科技有限公司Powered by zhentun.com
返回顶部