找回密码
 注册

Haglund综合征

作者:大江 | 时间:2025-10-7 16:00:10 | 阅读:157| 显示全部楼层
就诊
患者主诉左脚跟区域及跟腱附着处疼痛,且疼痛持续数月,且随着用力活动而加剧。

患者资料
年龄:50岁
性别:女
MRI
1.jpg
轴向
T2

2.jpg
矢状面
T1

3.jpg
矢状面
PD 脂肪饱和度

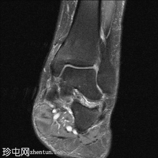
4.jpg
冠状面
T2

5.jpg
冠状面 PD
脂肪饱和度
跟腱远端1/3信号强度增高且增厚,提示跟腱病变。

跟腱远端部分撕裂

跟腱前滑囊积液导致扩张,提示滑囊炎。

跟骨后部骨刺提示 Haglund 畸形。

跟骨隆突后部局部中度骨髓水肿,周围脂肪组织。

其他发现包括跟骨骨刺和跟骨囊肿。

病例讨论
Haglund 综合征的典型表现包括:跟腱病、跟腱后(跟腱前)滑囊炎和跟骨后上部畸形(Haglund 畸形)。

这些症状是由跟骨后上骨性突起、远端跟腱以及中间的跟腱后滑囊之间的挤压引起的。

常发生于中年女性。影像学检查对于诊断 Haglund 综合征至关重要。
您需要登录后才可以回帖 登录 | 注册
Copyright © 2011-2026 东莞市珍屯医疗科技有限公司Powered by zhentun.com
返回顶部