找回密码
 注册

股骨髓内钉断裂

作者:大江 | 时间:2025-10-8 17:00:06 | 阅读:176| 显示全部楼层
就诊情况
跌倒后右腿缩短且外旋。既往股骨内固定术。已知甲状腺癌伴骨转移。

患者资料
年龄:80岁
性别:男
X光片
1.jpeg
正面

2.jpeg
正面

3.jpeg
侧面

4.jpeg
正面
临床细节:

跌倒后右髋关节缩短且外旋。

报告:

右侧髓内钉近端骨折(位于拉力螺钉孔位)。

空心髋螺钉组件完好。

股骨转子间骨折延伸至股骨近端转移灶,小转子粉碎。

以下为既往(及随访)影像学检查结果,供参考,展示术前股骨近端溶骨性病变、髓内钉骨折前的表现以及髓内钉骨折后的治疗情况。

术前病史
X 光片
5.png
正面

6.png
正面
临床详情:

右髋部疼痛加剧,负重困难。已知甲状腺癌骨转移。

报告:

右股骨近端小转子水平处出现溶骨性病变,病变呈扩张性,并伴有皮质破坏。鉴于已知甲状腺恶性肿瘤伴骨转移病史,推测为转移性病变。无病理性骨折。

建议骨科/肿瘤科诊治。

术后病史
X 光片
7.png
正面

8.png
侧位

9.png
正面
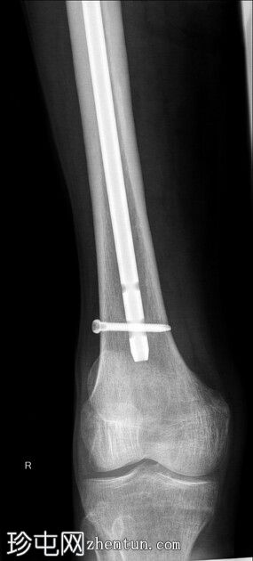
术中恢复期影像学检查:股骨髓内钉固定穿过小转子水平处已知的溶骨性病变。无金属部件损坏或假体周围骨折。

术后随访
X 光片
10.jpeg
正面

11.jpeg
正面
患者随后接受了股骨近端置换术。

无金属部件损坏。

病例讨论
这是股骨髓内钉断裂的典型案例。由于担心股骨近端溶骨性病变以及患者存在病理性骨折的风险,因此置入了髓内钉。髓内钉断裂是一种罕见但严重的并发症。

在本例中,髓内钉断裂发生在拉力螺钉孔(穿过股骨颈的螺钉)的水平,该水平可能是髓内钉本身较薄弱的部位。靠近该水平的溶骨性病变可能导致了不稳定性和髓内钉的异常应力。
您需要登录后才可以回帖 登录 | 注册
Copyright © 2011-2026 东莞市珍屯医疗科技有限公司Powered by zhentun.com
返回顶部