找回密码
 注册

肝撕裂伤

作者:大江 | 时间:2025-9-14 15:00:01 | 阅读:177| 显示全部楼层
表现
RTA术后,患者出现剧烈腹痛、腹胀、肌强直和休克体征,提示腹部损伤导致内出血。

患者资料
年龄:5岁
性别:女
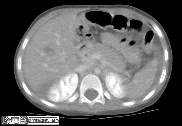
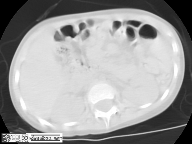
CT扫描
1.png
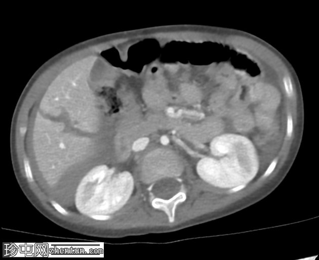
轴向C+动脉期

2.png
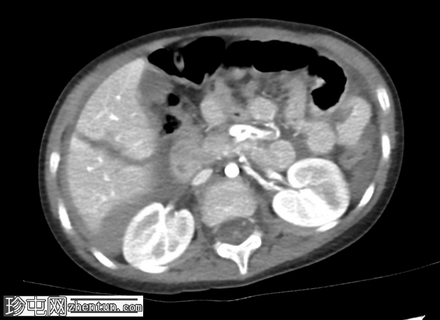
轴向C+门静脉期

3.png
轴向C+延迟期

4.png
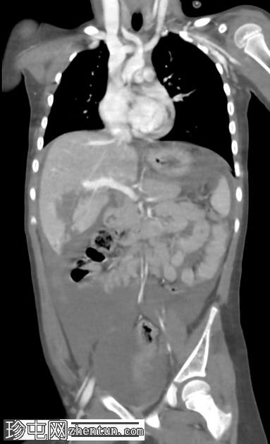
冠状C+门静脉期

5.png
矢状C+门静脉期

6.png
轴向

7.png
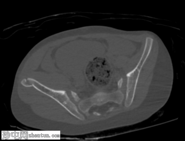
轴向骨窗

8.png
容积重建
C+动脉期
AAST IV级肝撕裂伤,伴有大面积不规则肝损伤,累及V段(轴向、冠状、矢状)。

撕裂伤区域内未见活动性造影剂外渗。

可见中等量腹腔积血。

右髂前骨骨折。

无气腹。

病例讨论
肝脏是最大的内脏器官,质地柔软,易受右胸部或上腹部创伤的损伤。

肝损伤是创伤患者最常见的危及生命的损伤之一。

临床资料提示患者存在严重的腹腔内损伤,可能伴有内出血,增强CT扫描显示肝脏撕裂伤和腹腔积血,证实了这一点。
您需要登录后才可以回帖 登录 | 注册
Copyright © 2011-2026 东莞市珍屯医疗科技有限公司Powered by zhentun.com
返回顶部