找回密码
 注册

肾上腺皮质癌侵犯肝肾

作者:大江 | 时间:2025-9-15 15:00:00 | 阅读:182| 显示全部楼层
就诊
肝功能检查异常

患者资料
年龄:55岁
性别:男
CT扫描
1.png
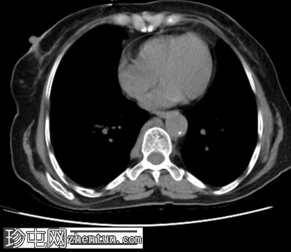
右肾上腺部位可见一个72 x 64毫米大小不规则、边界不清的肿块,侵犯右肾上极、肾上腺下腔静脉(IVC)以及肝7段和6段。脊柱与肿块之间的脂肪平面消失。由于下腔静脉阻塞,奇静脉和半奇静脉扩张。

前纵隔可见两个边界不清的肿块,应排除转移性病变。

此外,上腔静脉(SVC)处有一条中心静脉导管,可用于建立静脉通路。

病例讨论
这些表现与肾上腺皮质癌侵犯肝脏、肾脏、下腔静脉(IVC)及可疑纵隔受累相符。

肾上腺皮质癌是一种高度恶性但罕见的肿瘤,预后不良。这种癌症可见于家族性综合征,例如多发性内分泌肿瘤1型 (MEN-1)、李-法美尼综合征、贝克威斯-维德曼综合征、卡尼综合征和家族性腺瘤性息肉病。转移通常在诊断时发现。CT通常是首选的影像学检查方法。
您需要登录后才可以回帖 登录 | 注册
Copyright © 2011-2026 东莞市珍屯医疗科技有限公司Powered by zhentun.com
返回顶部