找回密码
 注册
作者:大江 | 时间:2025-9-14 16:00:01 | 阅读:241| 显示全部楼层
就诊情况
右腹股沟肿胀疼痛

患者资料
年龄:45岁
性别:女
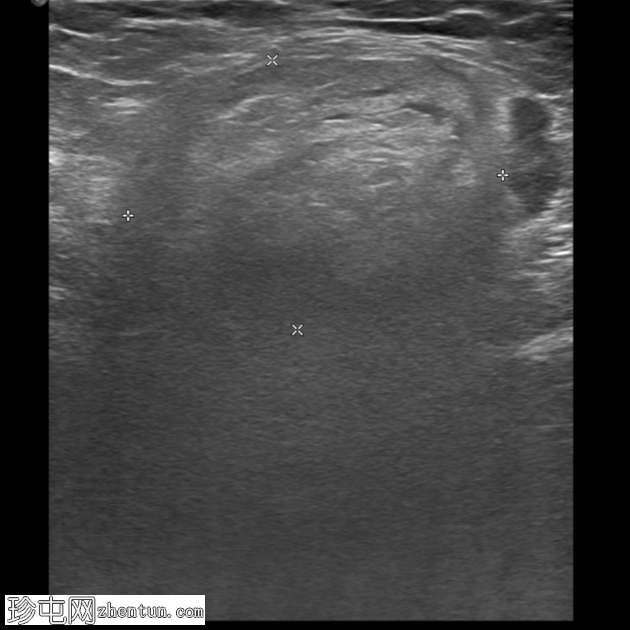
超声检查
1.png
右腹股沟可见一边界不清、异质性、略呈强回声的局灶性病变,大小约3.5 x 2.5厘米,伴有少量积液。病变内部及周围血管分布均匀。周围可见脂肪条带,以及少量腹股沟淋巴结轻度肿大。

检查结果提示嵌顿性右腹股沟疝,内含脂肪。建议结合临床表现进行进一步评估。

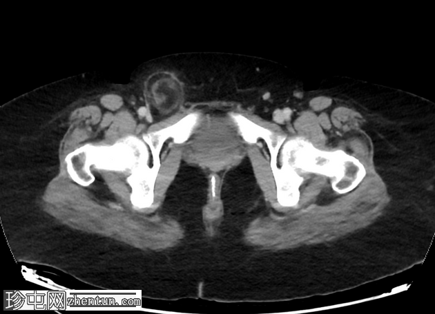
CT扫描
2.png
轴向C+门静脉期

3.png
冠状C+门静脉期

4.png
矢状C+门静脉期
右腹股沟疝,内含脂肪。疝颈位于下腹壁动脉起点下方。疝囊压迫股总静脉。脂肪含量不均质,脂肪条带状排列,并有微量液体,提示为嵌顿性股疝。

可见少量腹股沟淋巴结轻度肿大。

病例讨论
影像学特征符合右股疝,术中确诊,并采用腹腔镜联合开放手术(混合技术)进行右股疝修补术,使用网片进行修补。
您需要登录后才可以回帖 登录 | 注册
Copyright © 2011-2026 东莞市珍屯医疗科技有限公司Powered by zhentun.com
返回顶部