找回密码
 注册

腹膜假粘液瘤

作者:大江 | 时间:2025-9-15 16:00:00 | 阅读:232| 显示全部楼层
表现
腹痛和腹胀。

患者资料
年龄:55岁
性别:男
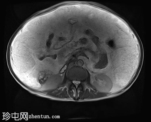
MRI
1.jpg
轴向
T2

2.jpg
冠状位
T2

3.jpg
轴向
T1

4.jpg
轴向
DWI

5.jpg
轴向
ADC

6.jpg
轴向
T1 C+

7.jpg
轴向
T1 C+
升结肠壁增厚,尤其前壁,形成肿块,T2信号高,提示其为黏液性肿块。肿块无扩散受限,增强扫描后几乎无强化。

腹腔内可见大量T2信号高、T1信号低至中等的包裹性积液,与腹膜凹陷相符,并导致内脏表面(尤其是肝脏和脾脏)呈扇贝状。这些表现是腹膜假黏液瘤的特征性表现,可能由黏液性肿瘤播散引起。

病例讨论
腹膜假粘液瘤,常被称为“果冻肚”,是一种以腹腔内粘液逐渐积聚为特征的疾病,通常由分泌粘液的肿瘤引起。

阑尾粘液瘤是最常见的病因;然而,腹膜假粘液瘤也可能由其他粘液肿瘤引起,例如源自结肠和卵巢的粘液肿瘤。

本病例经病理学证实为升结肠粘液腺癌。

在MRI上区分粘液腺癌和普通结肠腺癌的最佳方法是:粘液型腺癌显示高T2信号,无弥散受限;而普通型腺癌显示中至低T2信号,并伴弥散受限。
您需要登录后才可以回帖 登录 | 注册
Copyright © 2011-2026 东莞市珍屯医疗科技有限公司Powered by zhentun.com
返回顶部