找回密码
 注册
作者:大江 | 时间:2025-9-16 11:00:00 | 阅读:240| 显示全部楼层
就诊
患者表现为梗阻性黄疸。置入胆道支架后,黄疸消退。约一个月后,患者接受大量静脉输液后,出现进行性腹胀。

患者资料
年龄:70岁
性别:男
超声检查
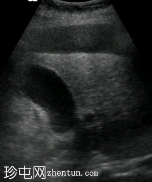
1.png
纵向

2.png
斜向

3.png
横向
超声图像显示右上腹肝脏周围存在均匀的无回声区域。左上腹脾脏附近也存在类似的无回声区域,肠管之间的盆腔内也存在无回声区域。这些积液的总体积估计为3-4升。胆囊外观未见异常,无结石或壁增厚的迹象。由于上覆肠道气体和患者体型特征,胰腺肿块未能清晰显示。

病例讨论
本病例显示,梗阻性黄疸患者接受胆道支架置入术后出现腹水。超声检查对检测游离液体敏感,但未能显示原发肿瘤。如果存在游离液体而无慢性肝病证据,通常需要进一步影像学检查以评估是否存在恶性肿瘤。
您需要登录后才可以回帖 登录 | 注册
Copyright © 2011-2026 东莞市珍屯医疗科技有限公司Powered by zhentun.com
返回顶部