找回密码
 注册

腹膜后出血(标记红细胞扫描)

作者:大江 | 时间:2025-9-18 12:00:03 | 阅读:198| 显示全部楼层
就诊情况
严重肝硬化和左髋疼痛

患者资料
年龄:35岁
性别:男
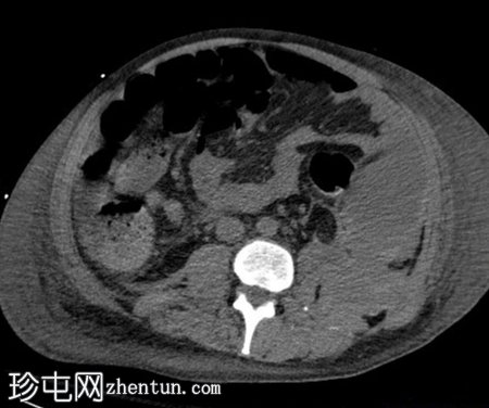
CT
1.png
腹部和盆腔非造影CT扫描显示腹水和大面积浅表软组织水肿。

左下腹局部积液,密度略有增高,呈层状分布,提示可能存在腹腔积血。

左髋前部肌肉组织存在额外异常密度影,疑似血肿。无潜在急性骨性异常。

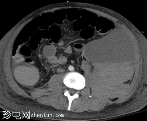
CT
2.png
腹部和盆腔增强CT扫描证实左下腹血肿,密度呈层状分布,并可见少量微小高密度灶,可能提示造影剂外渗。

Tc-99m 超标记红细胞扫描
医学
前部动态
1-60 分钟
MIP
3.jpg
冠状

4.jpg
融合

5.png
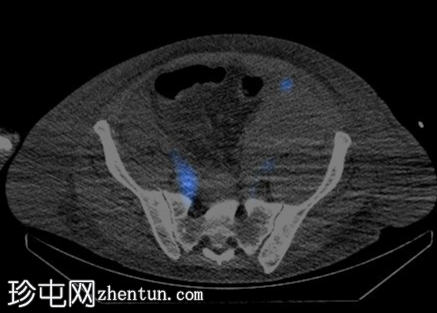
轴向

6.png
融合
以每帧 1 分钟的速率采集 60 分钟的动态前部平面成像显示左下腹存在异常的静态放射性示踪剂活动焦点。这确实证实了胃肠道出血的特征。

随后进行了 SPECT-CT 检查。

MIP 显示左下腹存在标记红细胞的异常聚集。

冠状融合 SPECT-CT 图像显示左下腹血肿内有多个红细胞外渗灶。

轴向融合 SPECT-CT 图像证实血肿内存在标记红细胞,从而确认存在活动性出血。

病例讨论
虽然标记红细胞闪烁显像已在确认和定位胃肠道出血方面得到广泛应用,但其用于检测胃肠道外活动性出血的应用较少,但已被证明有助于评估多种部位的出血。

闪烁显像的优势在于:对缓慢或间歇性出血具有高灵敏度、相对较高的特异性、非侵入性,以及能够反复评估大面积活动性出血。

用于评估非肠道出血的技术与评估胃肠道出血的技术类似,成像针对关注区域。当平面视图上的解剖定位困难或怀疑存在潜在假阳性(动脉瘤、血管瘤、静脉曲张或阴茎活动)时,SPECT 和/或 SPECT-CT 图像可能有所帮助。
您需要登录后才可以回帖 登录 | 注册
Copyright © 2011-2026 东莞市珍屯医疗科技有限公司Powered by zhentun.com
返回顶部