找回密码
 注册

贲门失弛缓症

作者:大江 | 时间:2025-9-19 12:00:00 | 阅读:215| 显示全部楼层
就诊
患者主诉逐渐出现固体和液体吞咽困难,并伴有反流和体重下降。

患者资料
年龄:10岁
性别:女
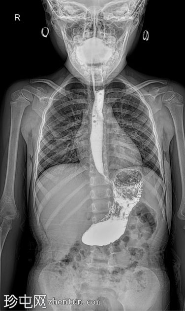
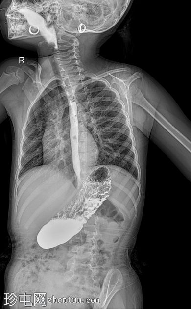
荧光透视
1.jpeg
AP

2.jpeg
AP

3.jpeg
AP

4.jpeg
斜向
食管体扩张,远端食管平滑收窄,呈现经典的鸟嘴状或鼠尾状外观

扩张食管内可见气液平面

造影剂进入胃排空延迟

病例讨论
荧光透视钡餐检查显示食管扩张,胃食管连接处平滑收窄,造影剂进入胃延迟。虽然这些特征提示贲门失弛缓症,但并非其特征性表现,尤其是在儿童中,因为下食管括约肌狭窄有时可视为正常变异。

贲门失弛缓症在儿科人群中并不常见,但对于年龄较大且存在非特异性上消化道症状的儿童,例如吞咽固体和液体食物困难、反流、体重下降或反复食物潴留,则应考虑该病。可能支持诊断的影像学征象包括:

食管均匀扩张

原发性蠕动消失

排空延迟

食管远端平滑收窄

本例患者进行了上消化道内镜检查,结果显示下食管括约肌收缩紧密,并伴有食物残渣,但未发现黏膜病变、狭窄或腐蚀性损伤。这些发现支持贲门失弛缓症作为初步诊断。

患者随后接受了气囊扩张术,并报告临床症状有所改善。

荧光透视被认为是评估疑似贲门失弛缓症的一线影像学检查方法。
您需要登录后才可以回帖 登录 | 注册
Copyright © 2011-2026 东莞市珍屯医疗科技有限公司Powered by zhentun.com
返回顶部