找回密码
 注册

直肠癌

作者:大江 | 时间:2025-9-22 16:00:04 | 阅读:249| 显示全部楼层
就诊情况
患者主诉便秘、非故意体重减轻及下肢水肿持续 5 个月。

患者资料
年龄:80岁
性别:女
MRI
1.jpeg
矢状位
T2

2.jpeg
矢状位
T2 SPACE

3.jpeg
冠状位
T2 STIR

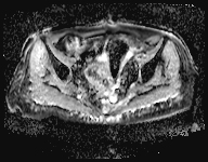
4.jpeg
轴位
DWI

5.jpeg
轴位
ADC

6.jpeg
轴位T1
同相

7.jpeg
轴位T1
异相

8.jpeg
轴位T1
C+脂肪饱和度

9.jpeg
轴位T1
C+脂肪饱和度
中下段直肠肿块,形态不规则,边缘清晰,质地不均一,以囊性为主,多分叶,增强扫描时实性部分强化,弥散不受限,病灶下缘位于肛门直肠连接处30毫米处,呈半圆形,横跨半径3点至9点方向,纵轴长约44毫米,向直肠系膜脂肪方向延伸达15毫米,但未超过直肠系膜筋膜。直肠上段无改变。未观察到淋巴结肿大。

此外,可见子宫呈前屈状,外观不均匀,内部信号低,呈卵圆形,边缘清晰,造影剂应用后出现不均匀强化,从而影响了子宫内膜的体积效应。子宫横、前后和头尾方向的尺寸分别为 2.9 x 2.8 x 4.0 cm,与黏膜下肌瘤相关。

病例讨论
病理报告证实为高分化 G1 肠腺癌。患者已接受放疗和化疗。肿瘤分类为 T3。

编者注:本方案与推荐的直肠癌分期方案不同。
您需要登录后才可以回帖 登录 | 注册
Copyright © 2011-2026 东莞市珍屯医疗科技有限公司Powered by zhentun.com
返回顶部