找回密码
 注册

肝血管瘤

作者:大江 | 时间:2025-9-23 16:00:03 | 阅读:238| 显示全部楼层
病情描述
胸部CT检查是肉瘤分期检查的一部分,检查过程中偶然发现了肝脏病变。腹部超声检查提示可能存在肝腺瘤,提示需要进一步检查。随后,患者进行了腹部和盆腔CT检查,以评估肝脏病变。

患者资料
年龄:40岁
性别:女
CT扫描
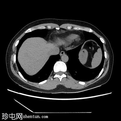
1.jpg
轴向
非造影

2.jpg
轴向C+期
动脉期

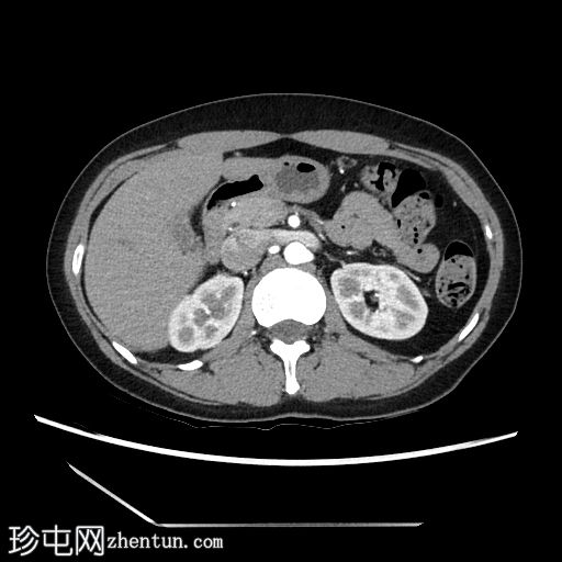
3.jpg
轴向C+期
门静脉期

4.jpg
轴向C+期
延迟

5.jpg
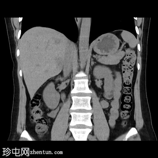
冠状面
非造影

6.jpg
冠状面C+期
动脉期

7.jpg
门静脉期
冠状面C+期

8.jpg
延迟
矢状面

9.jpg
非造影
矢状面C+期

10.jpg
动脉期
矢状面C+期

11.jpg
门静脉期
矢状面C+期

12.jpg
延迟
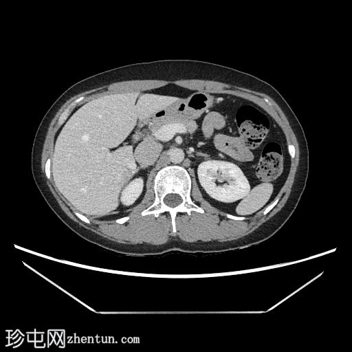
在轴向、冠状面和矢状面上均可见肝5/6段病变。动脉期可见周围结节状强化,门静脉期可见进行性向心性充盈,延迟期亦持续存在。这些表现为肝血管瘤的特征性表现。

病例讨论
先前的超声检查将肝腺瘤纳入了鉴别诊断。

然而,目前的CT扫描显示动脉期呈周围结节性强化,门静脉期呈进行性向心性充盈,且延迟成像后仍持续存在。这些特征是肝血管瘤的特征。未发现其他肝脏病变。

本研究发现了一个偶然发现的肝血管瘤。

肝血管瘤是最常见的肝脏良性肿瘤,无恶性潜能。
您需要登录后才可以回帖 登录 | 注册
Copyright © 2011-2026 东莞市珍屯医疗科技有限公司Powered by zhentun.com
返回顶部