找回密码
 注册

阑尾腺癌

作者:大江 | 时间:2025-9-24 16:00:04 | 阅读:201| 显示全部楼层
就诊
腹痛、腹泻和恶心。

患者资料
年龄:85岁
性别:女
CT扫描
1.jpg
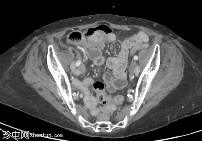
轴向C+门静脉期

2.jpeg
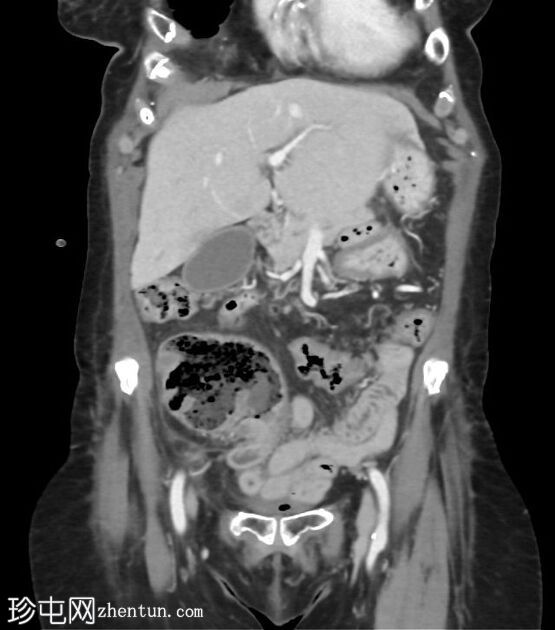
冠状C+门静脉期

3.jpg
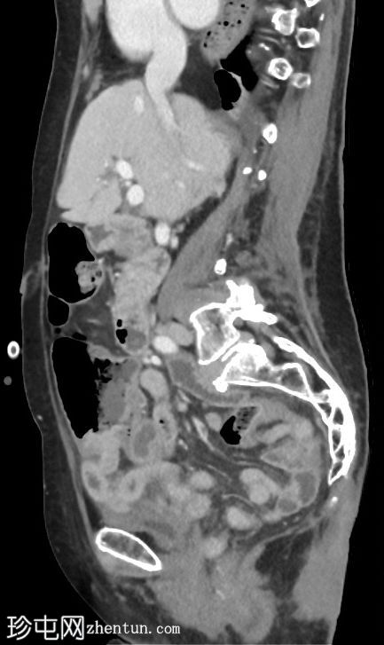
矢状C+门静脉期
阑尾盲肠极-基底部明显增厚,强化明显。阑尾中段1/3直径扩张至12毫米,远端1/3增厚。阑尾尖端周围有微小组织性液体积聚。阑尾周围无明显脂肪条带。

轻度门静脉周围血流痕迹。大量胆结石。L2-L3-L4节段后路椎板切除术后,因L2-L3节段大量钙化性椎间盘突出释放压力。子宫脱垂术后。腰椎侧凸,向左凸。

病例讨论
患者主诉腹痛、腹泻和恶心。轻度低钠血症,CRP 62。
腹部CT扫描显示阑尾底部明显增厚,疑似恶性肿瘤
她在几小时内接受了腹腔镜阑尾切除术。切除了一个尖端穿孔的蜂窝织性阑尾,并在盲肠极处发现了一个阻塞性肿块。

组织病理学报告:
阑尾高级别黏液性肿瘤,伴有印戒细胞的低分化腺癌。肿瘤侵犯切除边缘及阑尾壁全层。未发现淋巴管侵犯。
您需要登录后才可以回帖 登录 | 注册
Copyright © 2011-2026 东莞市珍屯医疗科技有限公司Powered by zhentun.com
返回顶部