找回密码
 注册

肛周超声检查发现肛周脓肿

作者:大江 | 时间:2025-9-25 16:00:04 | 阅读:230| 显示全部楼层
就诊情况
肛门搏动性疼痛、肿胀和发红。检查时,肛门附近发现一个触痛、红色、温热、波动性肿块。患者被送去接受肛周超声检查。

患者资料
年龄:30岁
性别:男
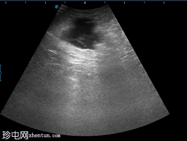
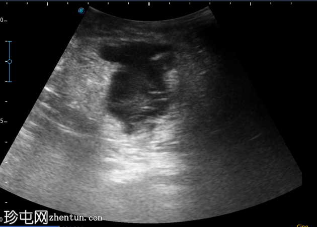
超声检查
1.png
4-10点钟平面
浅表探头

2.png
4-10点钟平面
浅表探头

3.png
4-10点钟平面
浅表探头

4.png
4-10点钟平面
深表探头

5.png
4-10点钟平面
深表探头

6.png
4-10点钟平面
深表探头
在右前外侧肛周区域(具体位置为10-11点钟方向,紧邻肛壁)观察到一个边界清晰、大小约为5 x 5厘米的低回声病变。病变壁不规则,后部回声增强。病变内部回声提示可能存在肛周脓肿。

在此阶段,未见内部瘘管或与肛管的交通。此外,未检测到明显的病灶周围血管或气体灶。为了更好地评估病变的定位和范围,除了浅表探头外,可能还需要深层探头。

病例讨论
肛周超声是一种快速、非侵入性的肛周脓肿诊断方法,通常可显示边界清晰的低回声或无回声积聚,并伴有后方声学增强,通常位于肛管附近。它可以轻松显示脓肿的形状、大小和位置,有助于及时治疗。

该患者接受了紧急切开引流术,并排出脓液。通常情况下,符合此诊断的患者临床症状会得到良好的改善,无需常规影像学随访。
您需要登录后才可以回帖 登录 | 注册
Copyright © 2011-2026 东莞市珍屯医疗科技有限公司Powered by zhentun.com
返回顶部