找回密码
 注册

肠系膜副神经节瘤

作者:大江 | 时间:2025-9-26 16:00:00 | 阅读:227| 显示全部楼层
就诊
慢性非特异性腹部和盆腔疼痛,持续6个月。

患者资料
年龄:60岁
性别:男
CT扫描
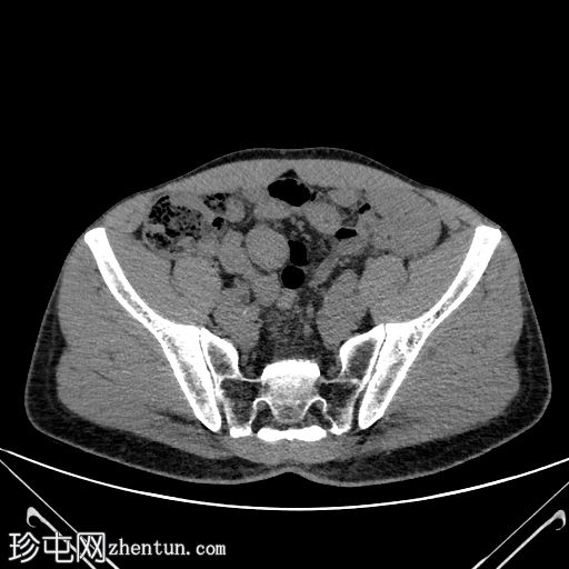
1.jpg
轴向
非造影

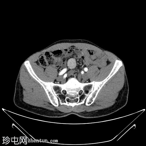
2.jpg
轴向C+期
动脉期

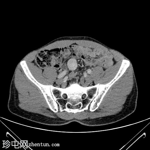
3.jpg
轴向C+期
门静脉期
边界清晰,单发,均匀强化,实性,无坏死,盆腔内肠系膜肿块病变。

无可疑区域淋巴结肿大,无相关钙化,亦无其他强化间叶病变。

周围结构未见明确侵犯。

下腔静脉扩张至3.6 cm,意义不明。

病例讨论
神经节瘤可能位于肾上腺或肾上腺外。肠系膜部位是肾上腺外类型之一。

神经内分泌肿瘤是可接受的鉴别诊断。

患者血压正常。但这并不排除副神经节瘤的诊断。

遗憾的是,我们无法对患者进行随访,因此无法获得最终的组织病理学报告,从而无法证实我们的放射学怀疑。
您需要登录后才可以回帖 登录 | 注册
Copyright © 2011-2026 东莞市珍屯医疗科技有限公司Powered by zhentun.com
返回顶部