首页
Portal
订阅
产品资料
医疗器械
外科训练
医学论坛
BBS
关于我们
联系我们
登录
立即登录
立即注册
其他登录
QQ
微信
搜索
搜索
本版
文章
帖子
用户
本版
文章
帖子
用户
首页
Portal
订阅
产品资料
医疗器械
外科训练
医学论坛
BBS
关于我们
联系我们
账号
自动登录
找回密码
密码
登录
注册
外科
内科
第三
第四
中医
辅助
执业
教育
专区
好友
帖子
收藏
淘帖
分享
记录
留言板
门户
导读
排行榜
设置
我的收藏
退出
珍屯医学
»
医学论坛
›
外科
›
普外腹腔镜
›
酪氨酸激酶抑制剂相关的小肠淋巴管扩张 ...
返回列表
酪氨酸激酶抑制剂相关的小肠淋巴管扩张
[复制链接]
作者:
大江
|
时间:
2025-9-29 17:00:16
|
阅读:222
|
显示全部楼层
就诊
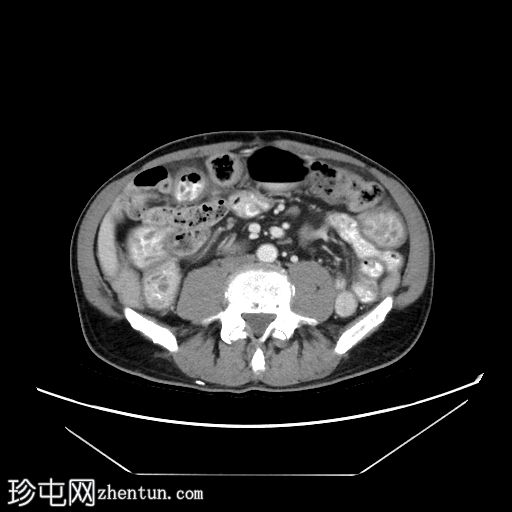
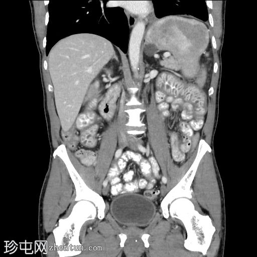
慢性粒细胞白血病(CML)再分期检查。
患者资料
年龄:50岁
性别:男
CT扫描
轴向C+门静脉期
冠状C+门静脉期
矢状C+门静脉期
十二指肠和空肠皱襞弥漫性低衰减结节性增大增厚,
口腔
造影剂(阳性)增强。微量腹水。
左侧少量积液,伴轻度胸膜增厚。良性肾脾囊肿。骨髓异质性。
病例讨论
这是酪氨酸激酶抑制剂 (TKI) 相关小肠淋巴管扩张的典型表现,是癌症再分期时需要注意的独特副作用。此类药物可导致小肠和大肠淋巴管扩张,从而引起胃肠道症状。
回复
举报
返回列表
发表新帖
高级模式
B
Color
Image
Link
Quote
Code
Smilies
您需要登录后才可以回帖
登录
|
注册
大江
关注Ta
主题 17556
帖子 16642
积分 42140
此人很懒,什么也没留下。
•
轻松订阅最新动态(简易法)
•
珍屯网“股份”积分策略
•
会员注册规则说明——试行
•
您看好“外资独资办医”吗?欢迎大家投票和讨论
•
为各位医友推荐些好书!可代购
•
无排卵
•
《简明体格检查图解》┊陈清兰,郑智远编著.PDF
•
全国实践技能考试准考证打印一览表
阅读作者更多精彩帖子
热门问答
更多>
0
新月形骨折伴骨盆LC II损伤
62人围观, 发布于2026-01-29
0
三角骨骨折
58人围观, 发布于2026-01-30
0
腰骶移行椎(Castellvi 2b 型)
64人围观, 发布于2026-01-31
0
Hill-Sachs 缺陷伴 Bankart 病变
56人围观, 发布于2026-02-01