找回密码
 注册

脐Richter疝

作者:大江 | 时间:2025-10-2 15:00:02 | 阅读:228| 显示全部楼层
表现
腹胀

患者资料
年龄:55岁
性别:男
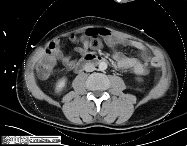
CT扫描
1.png
轴向C+门静脉期

2.png
矢状C+门静脉期
小脐疝伴Richter疝,包含小肠前壁(肠系膜对侧部分),无梗阻或并发症。

1个病例问题
病例讨论
Richter疝是通过筋膜缺损1在小肠肠系膜对侧部分发生的疝。虽然脐Richter疝更常见于股骨环或腹股沟环,但脐Richter疝很少见,而且常常被低估。

临床医生和影像师必须考虑这一诊断,尤其是在脐筋膜缺损与细微的局部肠壁改变同时出现时。

该患者因癫痫发作入院,并在入院期间出现腹胀。医生进行了CT检查,以排除药物引起的肠麻痹。这是一个偶然发现,如果病情没有得到很好的识别,很容易被漏报。
您需要登录后才可以回帖 登录 | 注册
Copyright © 2011-2026 东莞市珍屯医疗科技有限公司Powered by zhentun.com
返回顶部