找回密码
 注册

先天性膈疝

作者:大江 | 时间:2025-10-7 16:00:10 | 阅读:278| 显示全部楼层
就诊
患者反复呕吐。

患者资料
年龄:5岁
性别:男
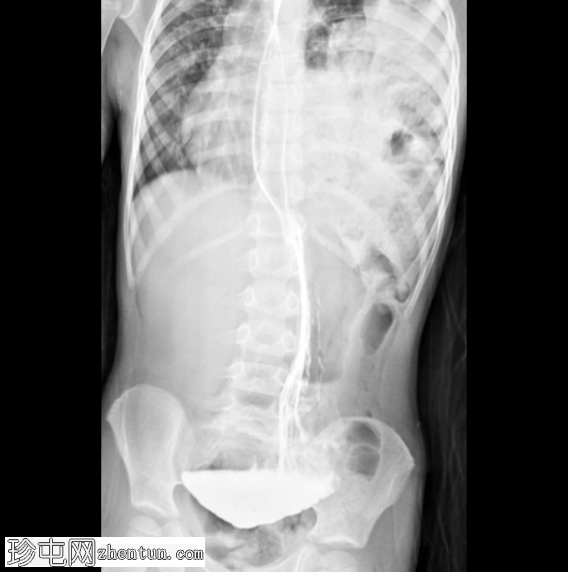
荧光透视
1.png
正面

2.png
斜位
消化道造影检查显示食管口径正常,胃明显延长,延伸至盆腔区域。

左胸腔可见囊性透亮区,与腹部相连,导致心脏轮廓向右侧移位。

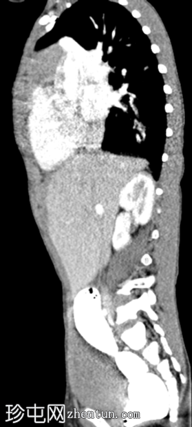
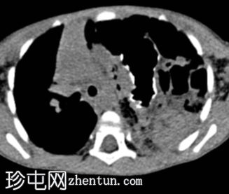
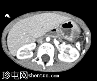
CT
1.png
AP
位置图

2.png
轴向
非造影

3.png
轴向C+期
动脉期

4.png
冠状面
非造影

5.png
冠状面C+期
动脉期

6.png
矢状面C+期
动脉期
左侧膈疝通过位于左膈中部的一个缺损形成,伴有纵隔向右侧移位,下方左塌陷。

脾脏、大肠和小肠均有疝气,同时伴有肠系膜上血管疝气。

胃位于下部,靠近主动脉分叉处。

在降结肠和直肠中可见先前荧光透视检查的残留造影剂。

病例讨论
这名5岁儿童有反复呕吐和发育不良病史。上消化道造影检查显示左胸腔内有囊性透光区,与腹部相通,提示膈疝,疑似先天性。本例的一个显著特征是胃的形状,胃呈细长状,并下降至靠近主动脉分叉处的盆腔区域。膈疝导致的胃排空障碍可能是造成胃部出现这种表现的原因。

脾脏疝出,左肺塌陷,纵隔向右侧上方移位。患儿无呼吸困难病史。

降结肠和直肠也可见造影,可能是先前上部造影检查的残留,因为CT扫描是在一天后进行的。

手术显示肠道和腹腔内容物在左半胸腔内自由漂浮,无覆盖。术后复位至腹腔,并修复左半膈肌缺损。
您需要登录后才可以回帖 登录 | 注册
Copyright © 2011-2026 东莞市珍屯医疗科技有限公司Powered by zhentun.com
返回顶部