找回密码
 注册

颈部平滑肌肉瘤

作者:大江 | 时间:2025-9-14 15:00:01 | 阅读:196| 显示全部楼层
就诊
一位女性患者,因盆腔肿块伴尿潴留就诊。

患者资料
年龄:30岁
性别:女
MRI
1.png
矢状位
T2

2.png
矢状位T1
C+脂肪饱和度

3.png
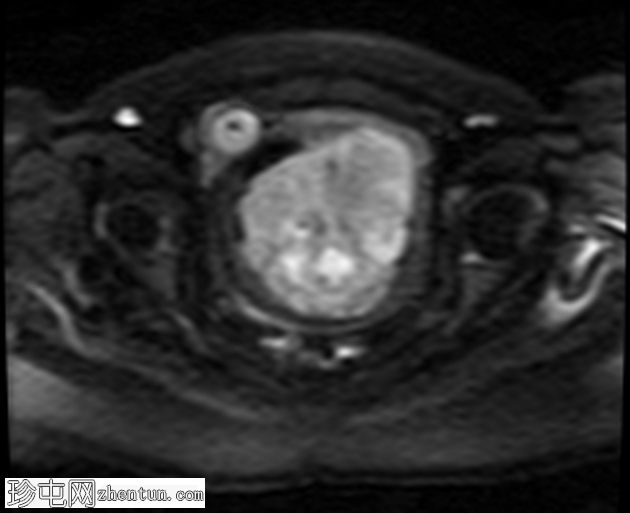
轴位T2
脂肪饱和度

4.png
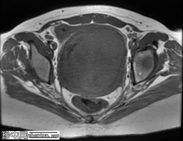
轴位
T1

5.png
轴位T1
脂肪饱和度

6.png
轴位T1
C+脂肪饱和度

7.png
轴位
DWI

8.png
冠状位T2
脂肪饱和度

9.png
轴位
ADC

10.png
冠状位T1
C+脂肪饱和度

11.png
轴位
ADC
宫颈后壁及子宫下段中心可见一约11.5 × 10 × 10厘米的不规则局灶性病变。该病变在T1脂肪饱和图像上呈等信号,伴有一偏心低信号区,中心有一细微高信号,提示有出血。

在T2加权图像上,病变呈中高信号,伴有囊性变性区域,以及与T1暗区相对应的偏心T2暗信号,也与含铁血黄素相符。

病变显示弥散受限区域,DWI信号强度高(等于或高于子宫内膜),实体强化区域ADC映射信号低,测量值小于0.9×10⁻³ mm²/秒(约0.755×10⁻³ mm²/秒)。

注射造影剂后,病变实体部分呈现均匀强化。

肿块对邻近结构产生显著的占位效应,向前压迫膀胱。膀胱呈空虚状态,Foley导尿管位于原位。

印象:放射学特征高度提示平滑肌肉瘤;有必要进一步评估

病理
12.jpeg
宫颈肿块的组织病理学检查结果提示为平滑肌肉瘤,非特指型 (NOS)。

病例讨论
影像学特征高度提示平滑肌肉瘤 (LMS),包括中高T2信号强度的实性强化病灶、等于或高于子宫内膜的高DWI信号以及实性强化区域的低ADC值(<0.9 × 10⁻³ mm²/秒)。

T2加权成像中的低信号区域可能是由于流空或病灶内含铁血黄素所致。该影像学特征在平滑肌肉瘤 (LMS) 诊断中表现出良好的诊断价值,敏感性为79%至84%,特异性约为86%。将这些表现与良性平滑肌瘤中常见的低T2信号区分开来至关重要。 T1加权图像与增强模式的相关性有助于准确鉴别。

术中可见小子宫和正常卵巢。盆腔深处的一个大型宫颈肌瘤使子宫向上移位,遮挡了宫颈。打开圆韧带后,沿肌瘤壁进行解剖。宫颈仍无法辨认,并被无意中连同已取代其后壁的肌瘤一起切除。由于已获得可能的子宫切除术的同意并告知家属,因此进行了全子宫切除术,保留了双侧卵巢。

宫颈肿块的组织病理学证实为平滑肌肉瘤(NOS)。
您需要登录后才可以回帖 登录 | 注册
Copyright © 2011-2026 东莞市珍屯医疗科技有限公司Powered by zhentun.com
返回顶部