找回密码
 注册

出血性卵巢囊肿

作者:大江 | 时间:2025-9-15 15:00:00 | 阅读:169| 显示全部楼层
就诊情况
患者几天前出现右侧盆腔疼痛

患者资料
年龄:40岁
性别:女
MRI
1.jpg
轴向
T1

2.jpg
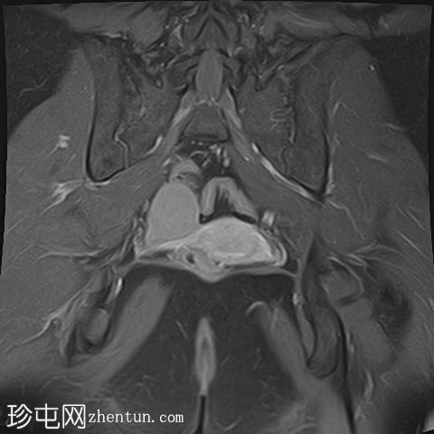
冠状位
T1

3.jpg
轴向
T2

4.jpg
冠状位
T2

5.jpg
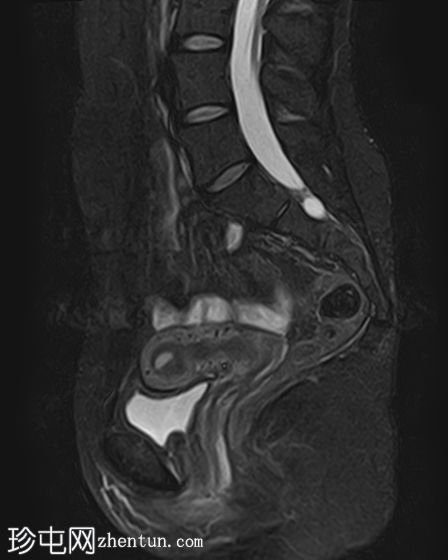
矢状位
T2

6.jpg
轴向
STIR

7.jpg
矢状位
STIR

8.jpg
冠状位
STIR

9.jpg
轴向
DWI

10.jpg
轴向
Iso DWI

11.jpg
轴向
ADC

12.jpg
轴向T1
脂肪饱和度

13.jpg
轴向T1
C+脂肪饱和度

14.jpg
冠状位T1
C+脂肪饱和度

15.jpg
矢状位T1
C+脂肪饱和度
已确诊3例卵巢囊肿:

右侧卵巢出血性囊肿,T1成像呈中等信号,T2成像呈高信号,伴有薄内部分隔

左侧卵巢出血性囊肿,信号特征与右侧囊肿相似

左侧单纯性卵巢旁囊肿,T1成像呈低信号,T2成像呈高信号

此外,所有囊肿均未显示弥散受限或实性成分强化。

所有囊肿均仅显示薄层外周壁强化。

道格拉斯囊右侧可见轻度积液。

还存在偶发的塔洛夫囊肿。

3 个病例问题
病例讨论
卵巢相关囊性病变边界相对清晰。信号特征可能因出血时间而异。

T1 加权成像:大多数病变呈低信号,也可能包含中至高信号成分。

T1 脂肪饱和度:通常显示中至高信号。

T2 加权成像通常显示高信号。 T2 阴影征提示存在慢性血液产物,更像子宫内膜异位症。

T1 增强钆:未见强化。

本例卵巢囊肿呈中等 T1 信号,类似于肌肉信号,T2 信号高,伴有薄内隔和外周壁强化。但无内部强化或弥散受限。STIR 序列显示与 T2 一致的信号,无任何脂肪成分。该表现提示卵巢出血性囊肿处于早期或消退期。

此外,左侧卵巢旁囊肿外观简单,T1 信号低,T2 信号高。

建议在下一个月经周期(通常在 6 至 8 周内)进行盆腔超声随访,以确保囊肿消退,因为大多数出血性囊肿往往会自行消退。如果病变持续存在或扩大,可能需要进一步评估。
您需要登录后才可以回帖 登录 | 注册
Copyright © 2011-2026 东莞市珍屯医疗科技有限公司Powered by zhentun.com
返回顶部