找回密码
 注册

雄激素不敏感综合征

作者:大江 | 时间:2025-9-16 15:00:01 | 阅读:159| 显示全部楼层
表现
原发性闭经。细胞遗传学报告为46XY。

患者资料
年龄:13岁
性别:女
MRI
1.jpg
矢状面
T2

2.jpg
轴位
T2

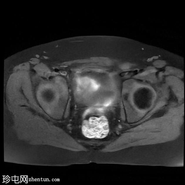
3.jpg
轴位T2
脂肪饱和度

4.jpeg
轴位T1
脂肪饱和度

5.jpg
冠状面T2
脂肪饱和度


6.jpg
冠状面
T1

7.jpg
轴位
DWI

8.jpg
矢状面T1
C+脂肪饱和度

9.jpeg
轴位T1
C+脂肪饱和度

10.jpg
冠状面T2
脂肪饱和度
MRI序列显示:

女性外生殖器

子宫、宫颈及阴道上2/3缺失

左侧睾丸及腹股沟管内环

右侧睾丸位于腹腔内,靠近腰大肌

双侧卵巢未显影

病例讨论
MRI结果提示雄激素不敏感综合征 (AIS),患者基因构成为男性,但外生殖器为女性(46XY核型)。由于细胞对睾酮等雄激素产生抵抗,雄激素不敏感综合征常伴有双侧隐睾。

区分雄激素不敏感综合征与Mayer-Rokitansky-Küster-Hauser综合征(MRKH)至关重要。MRKH综合征具有女性核型,女性外生殖器和卵巢正常,但子宫缺失或发育不全。
您需要登录后才可以回帖 登录 | 注册
Copyright © 2011-2026 东莞市珍屯医疗科技有限公司Powered by zhentun.com
返回顶部