找回密码
 注册

伴有囊性变性的子宫平滑肌瘤

作者:大江 | 时间:2025-9-17 16:00:00 | 阅读:168| 显示全部楼层
就诊
盆腔疼痛,伴有腹部胀满感。

患者资料
年龄:35岁
性别:女
MRI
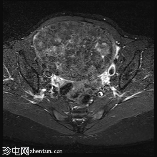
1.jpg
轴向
T1

2.jpg
轴向T1
脂肪饱和度

3.jpg
轴向
T1厚度

4.jpg
冠状面
T2厚度

5.jpg
冠状面
T2

6.jpeg
矢状面
T2

7.jpg
轴向
T2

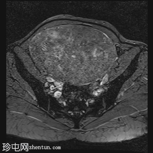
8.jpg
轴向T1
C+脂肪饱和度

9.jpg
矢状面
T1 C+

10.jpg
冠状面
T1 C+

11.jpg
轴向
SWI

12.jpg
轴向
DWI

13.jpg
轴向
ADC
子宫后壁可见一个边界清晰、体积较大的浆膜下肌瘤,大小约为16.1 x 10.5 x 14.4 cm(宽 x 深 x 高)。

该肌瘤在T1加权像上呈中等信号,在T2加权像上呈低信号,内部区域呈囊性变性。

该肿块导致正常子宫结构严重变形。增强扫描显示轻度不均匀强化,未见弥散受限征象或提示恶性肿瘤的可疑强化。

此外,子宫后壁可见多个小型子宫肌瘤,位于肌壁内和浆膜下,无任何退化征象。

双侧卵巢增大,各有超过10个卵泡,呈珍珠串状排列,周围未见优势卵泡。这些发现符合多囊卵巢的形态学特征。

病例讨论
平滑肌瘤是子宫肌层中常见的肿瘤,可根据其位置进行分类。超声是评估此类肿瘤最常用的成像技术,而MRI则用于进一步检查任何可疑特征。

随着平滑肌瘤体积增大,其血供可能不足,导致不同类型的变性:透明变性、囊性变性、粘液样变性或红色变性。也可能出现营养不良性钙化。最常见的变性类型是透明变性,而囊性变性则是水肿的极端后果。
您需要登录后才可以回帖 登录 | 注册
Copyright © 2011-2026 东莞市珍屯医疗科技有限公司Powered by zhentun.com
返回顶部