找回密码
 注册

卵巢浆液性囊腺瘤

作者:大江 | 时间:2025-9-18 16:00:01 | 阅读:172| 显示全部楼层
表现
腹胀。

患者资料
年龄:75岁
性别:女
超声检查
1.jpeg
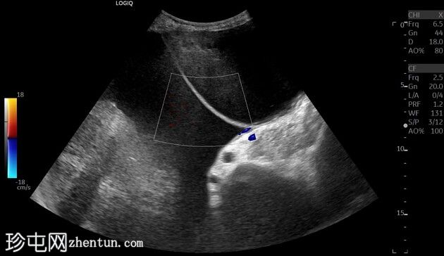
盆腹腔内有一大型双房性囊性病变,大小约为245(横向)x 230(头尾向)x 113(前后向)毫米,估计体积为3376毫升。囊肿内容物无回声,无实性成分、乳头状突起、囊壁不规则或阴影。囊隔内无血流。病变从盆腔延伸至上腹部,并向两侧腹壁外侧延伸。未见相关腹水或腹部淋巴结肿大。子宫萎缩,双侧卵巢无法定位。

右侧轻度肾积水。左肾皮质单纯性囊肿,无肾积水。左叶肝单纯性囊肿。膀胱、脾脏、胰腺和胆囊均正常。

病例讨论
超声检查发现一位腹胀的老年患者腹盆腔内有一处大型囊性病变。该病变疑似良性卵巢病变。患者此前(20个月前)的超声检查也发现了类似的病变。然而,病变体积从最初的2325cc增大到目前的3376cc。

之后的CT扫描也发现了类似的结果。手术后发现病变源自左侧卵巢。组织病理学诊断为卵巢浆液性囊腺瘤。
您需要登录后才可以回帖 登录 | 注册
Copyright © 2011-2026 东莞市珍屯医疗科技有限公司Powered by zhentun.com
返回顶部