首页
Portal
订阅
产品资料
医疗器械
外科训练
医学论坛
BBS
关于我们
联系我们
登录
立即登录
立即注册
其他登录
QQ
微信
搜索
搜索
本版
文章
帖子
用户
本版
文章
帖子
用户
首页
Portal
订阅
产品资料
医疗器械
外科训练
医学论坛
BBS
关于我们
联系我们
账号
自动登录
找回密码
密码
登录
注册
外科
内科
第三
第四
中医
辅助
执业
教育
专区
好友
帖子
收藏
淘帖
分享
记录
留言板
门户
导读
排行榜
设置
我的收藏
退出
珍屯医学
»
医学论坛
›
第三
›
妇科产科
›
伴有肾盂输尿管连接处梗阻的 Herlyn-Werner-Wunderlich ...
返回列表
伴有肾盂输尿管连接处梗阻的 Herlyn-Werner-Wunderlich 综合征
[复制链接]
作者:
大江
|
时间:
2025-9-20 16:00:00
|
阅读:129
|
显示全部楼层
就诊情况
患者表现为左侧腰痛、轻度发热和闭经。
超声
检查显示左肾积水,右肾未见异常。
患者资料
年龄:20岁
性别:女
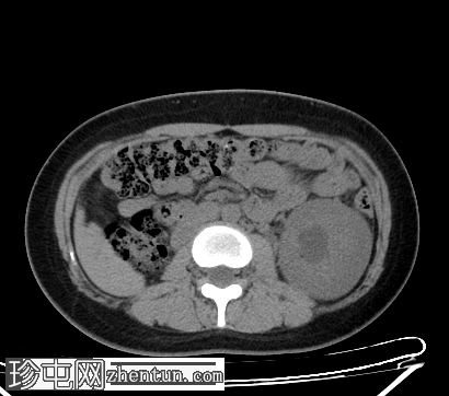
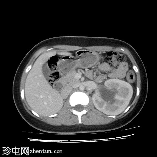
CT扫描
轴向扫描
非造影
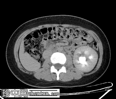
轴向扫描C+期
动脉期
轴向扫描C+期
门静脉期
轴向扫描C+期
延迟扫描
腹部CT平扫和造影扫描显示左肾实质增大,伴I级肾积水,右肾在肾窝内未见异常。双子宫完整(两个子宫体和两个宫颈),阴道隔膜将阴道分成两半,阴道右半部分积液,非造影片上积液密度较大,提示为
血液
(阴道积血)。
增强扫描图像提示存在一条血管分支压迫左肾盂-输尿管连接处,导致肾积水。
道格拉斯囊内有少量游离液体。
右侧卵巢可见黄体。
其他腹部器官未见异常。
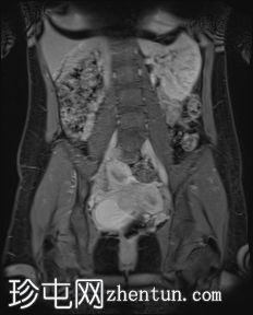
MRI
冠状位
T2 加速位
冠状位
T2 TSE FS
冠状位
T2
轴向位
T2
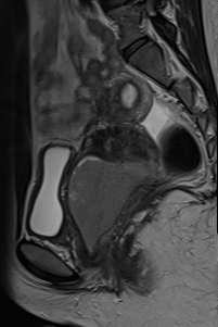
矢状位
T2
轴向位
T1
轴向 T1
脂肪饱和度
轴向 T1
C+脂肪饱和度
冠状位 T1
C+脂肪饱和度
矢状位 T1
C+脂肪饱和度
轴向位
DWI
轴向位
ADC
盆腔增强 MRI 检查增强了我们对 CT 扫描中发现的病变的理解。右肾发育不全,左肾肥大伴肾积水,双子宫完整,阴道隔膜,发育不全侧阴道积血。
双侧卵巢均有多个功能性囊肿,右侧卵巢可见黄体囊肿。
道格拉斯囊内可见少量游离液体。
左侧
泌尿
系统置入JJ支架,左侧输尿管下1/3扩张。
手术报告:
术中,左侧输尿管蠕动良好,左肾增大。肾门解剖显示,左侧输尿管在肾门处弯曲,向后延伸至下极血管束,并被该血管束和下极肾实质挤压。下极动脉从肾动脉主干分支出来,进入
肾脏
下极,直径4毫米,并伴有一条直径10毫米的静脉。
游离输尿管,并在交叉点下方10厘米处进行横断。
将输尿管复位至下极动脉和静脉前方。在输尿管两端作V形切口,并通过6 Fr JJ支架重建输尿管。复位后评估证实肾盂至输尿管引流良好。
病例讨论
CT和MRI检查结果为Herlyn-Werner-Wunderlich综合征的典型表现,其特征为经典的三联征:III型苗勒氏管异常(完全性双子宫)、中肾管异常(肾发育不全)以及肾发育不全侧阴道积血。
该患者左肾积水是偶然发现的,且无任何明确的梗阻原因,例如泌尿系统结石、
肿瘤
或炎症。积水延伸至左肾盂-输尿管连接处,疑似存在血管分支交叉,该分支可能造成压迫,从而导致肾积水。
患者随后接受左输尿管JJ支架置入术,但肾积水并未改善,血液检查中观察到急性肾损伤。
患者随后接受手术,证实肾动脉的一条血管分支穿过左肾盂-输尿管连接处,导致左肾积水。术后,患者的临床症状和
影像
学检查均显著改善。
回复
举报
返回列表
发表新帖
高级模式
B
Color
Image
Link
Quote
Code
Smilies
您需要登录后才可以回帖
登录
|
注册
大江
关注Ta
主题 17556
帖子 16642
积分 42140
此人很懒,什么也没留下。
•
轻松订阅最新动态(简易法)
•
珍屯网“股份”积分策略
•
会员注册规则说明——试行
•
您看好“外资独资办医”吗?欢迎大家投票和讨论
•
为各位医友推荐些好书!可代购
•
无排卵
•
《简明体格检查图解》┊陈清兰,郑智远编著.PDF
•
全国实践技能考试准考证打印一览表
阅读作者更多精彩帖子
热门问答
更多>
0
新月形骨折伴骨盆LC II损伤
62人围观, 发布于2026-01-29
0
三角骨骨折
58人围观, 发布于2026-01-30
0
腰骶移行椎(Castellvi 2b 型)
64人围观, 发布于2026-01-31
0
Hill-Sachs 缺陷伴 Bankart 病变
56人围观, 发布于2026-02-01