找回密码
 注册

成熟囊性卵巢畸胎瘤

作者:大江 | 时间:2025-9-22 16:00:04 | 阅读:174| 显示全部楼层
就诊
右侧盆腔疼痛及沉重感。

患者资料
年龄:20岁
性别:女
CT扫描
1.jpeg
轴向扫描
非造影扫描

2.jpeg
冠状扫描
非造影扫描
盆腔内可见巨大脂肪密度肿块,伴有牙齿。

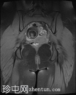
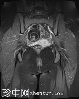
MRI扫描
3.jpeg
冠状扫描
T1

4.jpeg
冠状扫描T1
脂肪密度

5.jpeg
轴向扫描
T2

6.jpeg
矢状扫描
T2

7.jpeg
轴向扫描
STIR扫描

8.jpeg
矢状扫描
冠状扫描T1

9.jpeg
C+脂肪密度
轴向扫描T1

10.jpeg
C+脂肪密度
矢状扫描T1

11.jpeg
C+脂肪密度
右侧附件区可见较大囊性肿块,内含脂肪和液体,大小约为86毫米 x 60毫米。右侧血管蒂扭转,呈漩涡征。右侧卵巢可见增大充血的卵泡,为囊性肿块病变。左侧卵巢正常。

病例讨论
成熟卵巢畸胎瘤生长缓慢(每年1-2毫米),因此部分专家主张非手术治疗。较大的病变通常需手术切除。许多人建议,对于小于7厘米的病变,应每年进行随访以监测其生长情况,超过7厘米则建议切除。卵巢扭转是最常见的并发症。约1-2%的病例会发生恶性转化,通常进展为鳞状细胞癌(成人),或罕见的内胚窦肿瘤(儿童)。
您需要登录后才可以回帖 登录 | 注册
Copyright © 2011-2026 东莞市珍屯医疗科技有限公司Powered by zhentun.com
返回顶部