找回密码
 注册

卵巢无性细胞瘤

作者:大江 | 时间:2025-9-23 16:00:03 | 阅读:167| 显示全部楼层
表现
进行性腹盆腔扩张和隐痛,伴血清HCG水平升高。

患者资料
年龄:25岁
性别:女
MRI
1.jpg
矢状位
T2

2.jpg
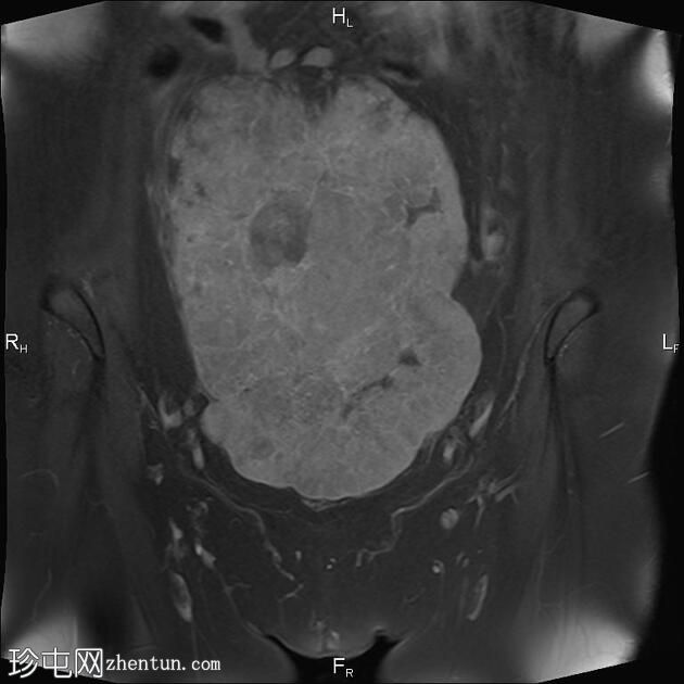
冠状位
T2

3.jpg
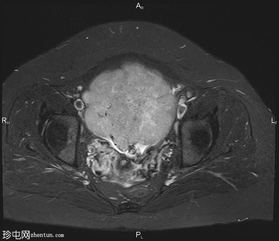
轴向位
T2

4.jpg
轴向T2
脂肪饱和度

5.jpg
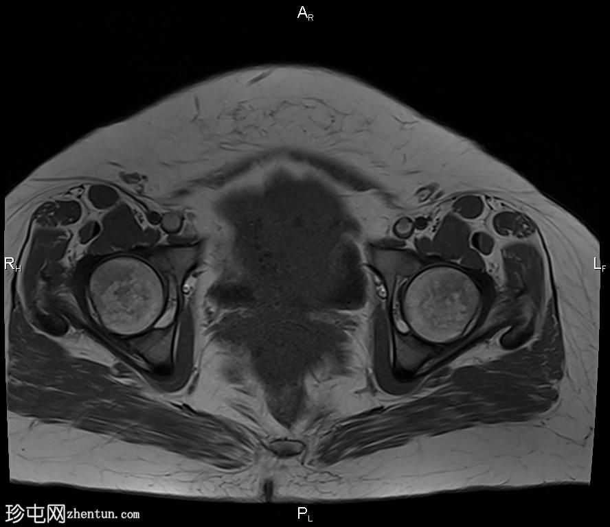
轴向位
T1

6.jpg
冠状位
T1

7.jpg
轴向T1
脂肪饱和度

8.jpeg
冠状位T1
C+脂肪饱和度

9.jpg
矢状位T1
C+脂肪饱和度

10.jpg
轴向T1
C+脂肪饱和度
盆腔内可见一巨大多分叶实性肿块,内部有隔膜,T2WI信号不均匀,T1WI信号不均匀,呈低信号。肿块内散在分布囊性/坏死性病变。

肿块外可见子宫和右侧卵巢,肿块似源自左侧卵巢。该肿块压迫膀胱和两侧远端输尿管,并导致肠管和血管结构移位,但无侵袭或包裹征象。

造影后,肿块呈不均匀强化,隔膜强化。

远端髂腹旁和两侧髂骨旁区域可见少量肿大淋巴结。

病理
11.png
患者接受了全子宫切除术和双侧输卵管卵巢切除术,组织病理学和免疫组化(IHC)检查证实为左侧卵巢无性细胞瘤。

病例讨论
本病例为卵巢无性细胞瘤,这是一种卵巢恶性生殖细胞肿瘤,主要见于年轻女性,被认为是睾丸精原细胞瘤的卵巢对应肿瘤。高达17%的肿瘤可为双侧。

其特征性影像学表现包括多分叶实性肿块,伴有明显的纤维血管间隔,增强扫描图像上呈现不均匀强化。

约 5% 的无性细胞瘤可导致血清 HCG 水平升高。
您需要登录后才可以回帖 登录 | 注册
Copyright © 2011-2026 东莞市珍屯医疗科技有限公司Powered by zhentun.com
返回顶部