找回密码
 注册

继发于憩室穿孔的福尼尔坏疽

作者:大江 | 时间:2025-9-14 15:00:01 | 阅读:139| 显示全部楼层
就诊
过去两周阴囊疼痛,症状逐渐加重。临床检查发现阴囊坏死性病变延伸至腹股沟区,伴有摩擦音,阴茎有脓性分泌物。

患者资料
年龄:60岁
性别:男
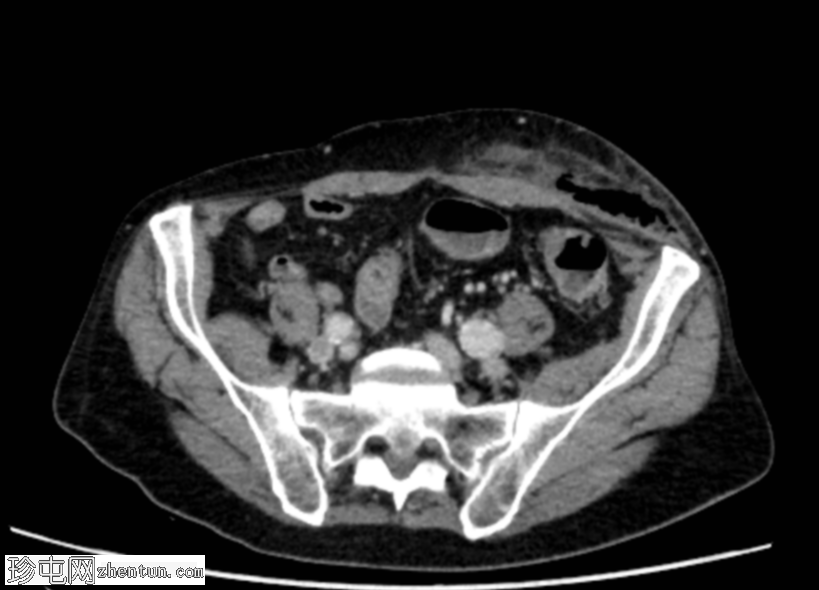
CT扫描
1.png
轴向C+门静脉期

2.png
冠状C+门静脉期

3.png
矢状C+门静脉期
疑似乙状结肠憩室炎。左侧直疝,乙状结肠壁一段内有气泡——最有可能是嵌顿疝,憩室穿孔是福尼尔坏疽的病因。

福尼尔坏疽由此沿精索向左半阴囊延伸,并沿腹外斜肌筋膜向头部延伸。

患者在左侧睾丸切除术和根治性阴囊切除术后,接受了进一步的普外科治疗。同日,患者接受了紧急剖腹手术,行乙状结肠切除术(采用哈特曼手术)并进行造口术。此外,还对坏死组织进行了广泛的清创术。

病理

1. 阴囊皮肤严重坏死性炎症,炎症蔓延至睾丸、附睾和精索,符合临床诊断的福尼尔坏疽。

2. 乙状结肠穿孔性憩室炎,伴有脓肿形成性炎症和纤维素性化脓性腹膜炎。

4 个病例问题
病例讨论
福尼尔坏疽主要是一种临床诊断。影像学检查常用于确定疾病范围、识别潜在感染源并协助制定手术方案,本例亦是如此。

腹股沟疝内穿孔憩室被确诊为福尼尔坏疽的感染源,这种情况极为罕见,文献中也鲜有记载。
您需要登录后才可以回帖 登录 | 注册
Copyright © 2011-2026 东莞市珍屯医疗科技有限公司Powered by zhentun.com
返回顶部