首页
Portal
订阅
产品资料
医疗器械
外科训练
医学论坛
BBS
关于我们
联系我们
登录
立即登录
立即注册
其他登录
QQ
微信
搜索
搜索
本版
文章
帖子
用户
本版
文章
帖子
用户
首页
Portal
订阅
产品资料
医疗器械
外科训练
医学论坛
BBS
关于我们
联系我们
账号
自动登录
找回密码
密码
登录
注册
外科
内科
第三
第四
中医
辅助
执业
教育
专区
好友
帖子
收藏
淘帖
分享
记录
留言板
门户
导读
排行榜
设置
我的收藏
退出
珍屯医学
»
医学论坛
›
外科
›
心脏和胸部外科
›
胸部刺伤
返回列表
胸部刺伤
[复制链接]
作者:
大江
|
时间:
2025-9-15 16:00:00
|
阅读:173
|
显示全部楼层
病史
右胸壁穿透性刀伤。无
呼吸
道症状。
患者资料
年龄:25岁
性别:男
胸部
穿透伤
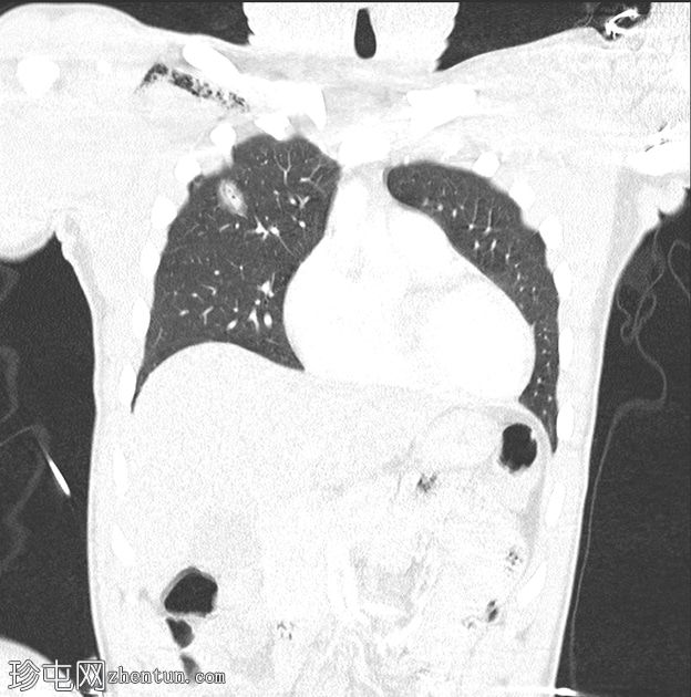
CT扫描
矢状面C+
动脉期
冠状面C+
动脉期
皮下气肿。右胸壁穿透伤,横穿右胸大肌,进入右前第三和第四肋骨之间的胸腔。右上叶49毫米裂伤,后方与水平裂隙相邻。伴有创伤性气囊和邻近毛玻璃影,与
肺
出血相符。右侧微小气胸。
病例讨论
患者入院2天,多次胸部X光检查显示气胸稳定。冲洗表皮损伤,并用免缝胶带缝合边缘。经过两天的临床稳定后,他出院了。
回复
举报
返回列表
发表新帖
高级模式
B
Color
Image
Link
Quote
Code
Smilies
您需要登录后才可以回帖
登录
|
注册
大江
关注Ta
主题 17556
帖子 16642
积分 42140
此人很懒,什么也没留下。
•
轻松订阅最新动态(简易法)
•
珍屯网“股份”积分策略
•
会员注册规则说明——试行
•
您看好“外资独资办医”吗?欢迎大家投票和讨论
•
为各位医友推荐些好书!可代购
•
无排卵
•
《简明体格检查图解》┊陈清兰,郑智远编著.PDF
•
全国实践技能考试准考证打印一览表
阅读作者更多精彩帖子
热门问答
更多>
0
新月形骨折伴骨盆LC II损伤
62人围观, 发布于2026-01-29
0
三角骨骨折
58人围观, 发布于2026-01-30
0
腰骶移行椎(Castellvi 2b 型)
64人围观, 发布于2026-01-31
0
Hill-Sachs 缺陷伴 Bankart 病变
56人围观, 发布于2026-02-01