找回密码
 注册

肺间质气肿

作者:大江 | 时间:2025-9-16 16:00:00 | 阅读:203| 显示全部楼层
病史
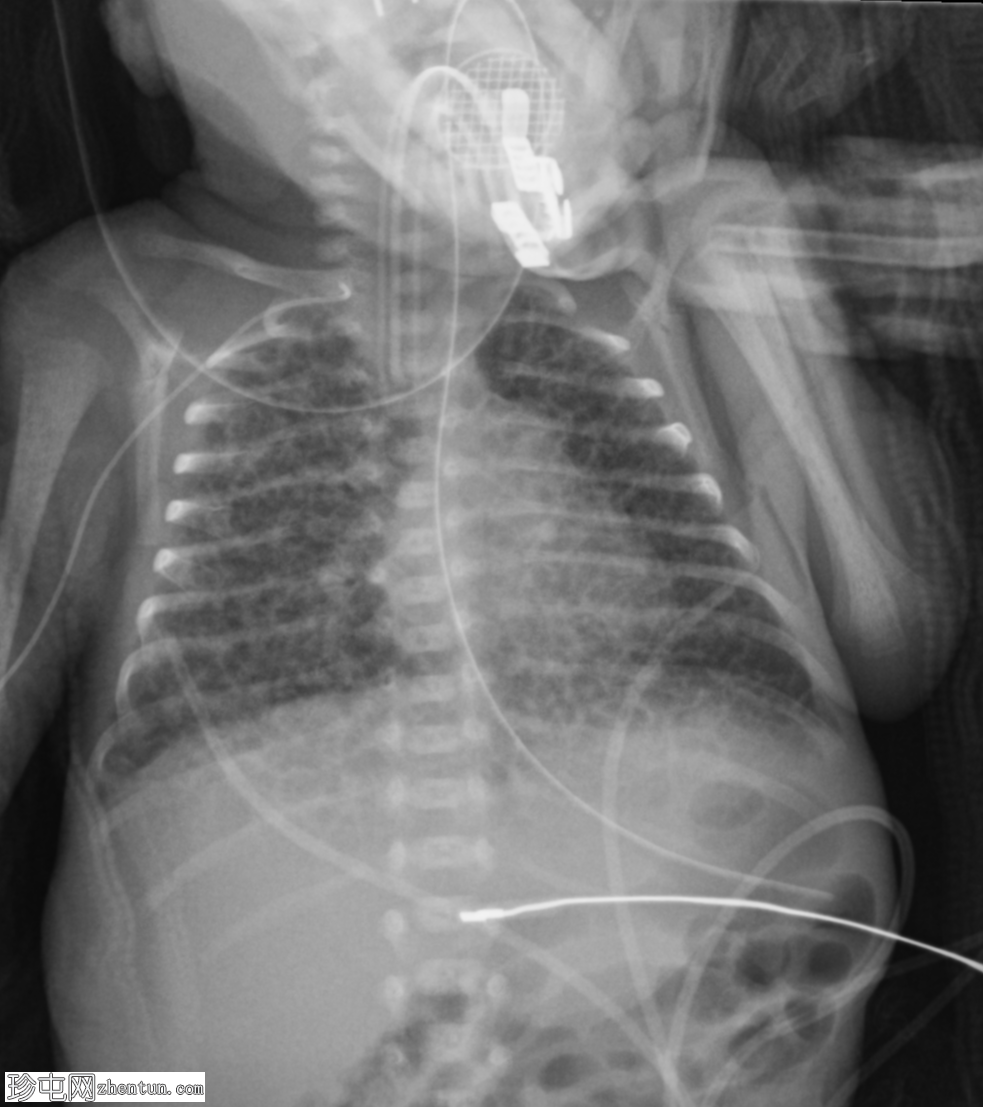
早产儿(胎龄23周),呼吸窘迫。

患者资料
年龄:6天
性别:男
X光片
1.png
内可见弥漫性粗化网状阴影和散在的透亮影。
肺过度扩张。
无胸腔积液或气胸。
心纵隔轮廓正常。

气管插管终止于T3椎体水平。
经食管营养管终止于预期的胃部区域。
右上肢PICC导管向头侧延伸,疑似终止于右侧颈内静脉。

病例讨论
本例疑似肺间质气肿(PIE)病例。

在适当的临床情况下,如果发现粗化网状阴影并伴有透亮影,则为PIE的特征。这种疾病几乎仅见于需要机械通气的新生儿。这名孕23周出生并入住新生儿重症监护病房 (NICU) 的婴儿,面临多种早产相关并发症的高风险,包括肺动脉高压 (PIE)、呼吸窘迫综合征 (RDS) 和支气管肺发育不良 (BPD)。在本例中,患者随后患上了呼吸窘迫综合征 (RDS),并最终发展为支气管肺发育不良 (BPD)。

机械通气会导致早产儿肺部产生活性氧,进而引发过度的炎症级联反应。该级联反应涉及促炎细胞因子、生长因子和血管生成介质的释放。由此产生的炎症反应失调会损害正常的肺部和血管发育,最终导致组织异常重塑和肺部生长停滞,这是支气管肺发育不良 (BPD) 等慢性肺部疾病的特征。
您需要登录后才可以回帖 登录 | 注册
Copyright © 2011-2026 东莞市珍屯医疗科技有限公司Powered by zhentun.com
返回顶部