找回密码
 注册

大量气胸

作者:大江 | 时间:2025-9-17 16:00:00 | 阅读:194| 显示全部楼层
就诊情况
患者因呼吸困难就诊于急诊科,检查发现右半胸腔高共振,呼吸音消失,并伴有中度低氧血症。

患者资料
年龄:30岁
性别:男
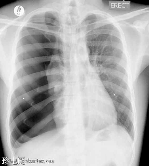
X光片
1.jpeg
右半胸腔高透辐射且高扩张,伴有大量气胸、右不张、肋骨外扩、纵隔移位和膈肌扁平。

乳头穿孔。

病例讨论
非创伤性气胸是指气体通过脏层胸膜缺损从肺部逸出而形成的积聚物。呼气时,气体无法重新进入肺部。胸膜内压升高,导致肺塌陷。

只要缺损持续存在,气胸就会扩大,并可能对邻近结构产生占位效应。患者出现呼吸困难、呼吸窘迫和低氧血症。如果不及时治疗,这可能会抑制脑部呼吸中枢,导致致命的呼吸骤停。

该患者具有典型的临床表现和检查结果,病情良好,在接受肋间引流和水下封堵治疗前,已进行诊断性胸部X光检查。

呼吸功能受损程度较重的患者,可采用前第二肋间静脉插管胸廓造口术治疗。如果时间和专业知识充足,建议进行床旁超声检查以确认气胸。

出现这种情况的患者并不严格符合张力生理学的标准,张力生理学要求在大部分呼吸周期中胸膜内压力高于大气压。这种情况仅发生在接受正压通气的患者身上。当这些患者出现气胸时,气胸会迅速扩大,导致低氧血症并阻碍全身静脉回流。几分钟内即可导致致命的循环衰竭和心脏骤停。
您需要登录后才可以回帖 登录 | 注册
Copyright © 2011-2026 东莞市珍屯医疗科技有限公司Powered by zhentun.com
返回顶部