找回密码
 注册

胸部尤文氏肉瘤

作者:大江 | 时间:2025-9-18 16:00:01 | 阅读:194| 显示全部楼层
表现
呼吸困难、咳嗽和胸痛。

患者资料
年龄:10岁
性别:男
胸部增强扫描 (CECT)
CT
1.png
定位扫描

2.png
地形图

3.png
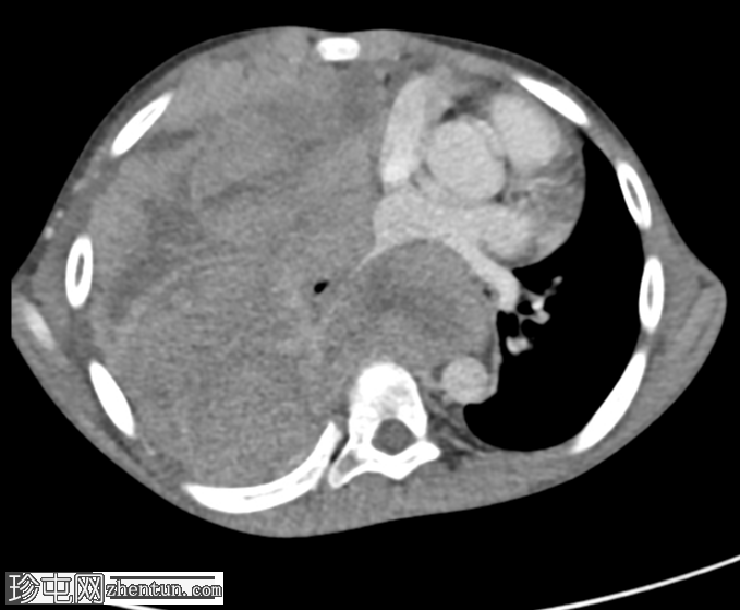
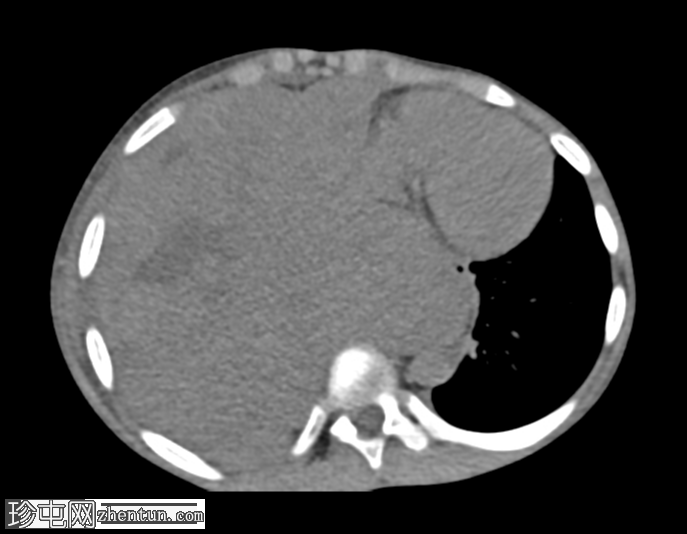
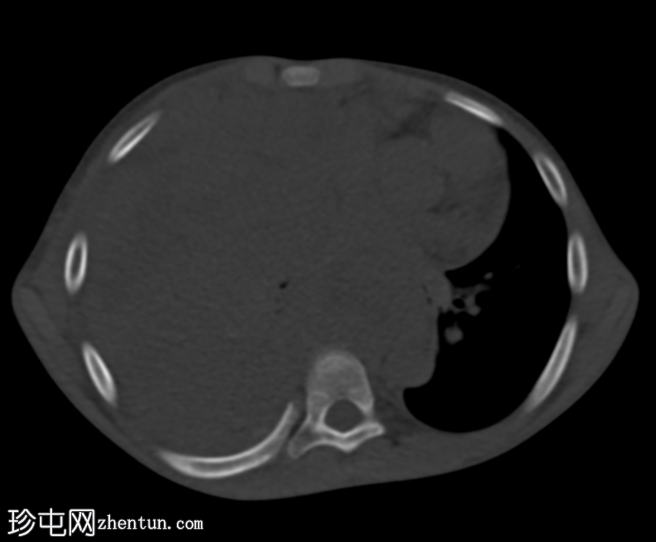
轴向
轴向非造影期

4.png
轴向C+门静脉期

5.png
轴向骨窗

6.jpeg
矢状骨窗
定位扫描图像发现:

右肺野完全影,伴有轻度向对侧(左侧)纵隔移位,提示大量胸腔积液或大型占位性病变。

CT 发现:

一个大的、不均匀强化的肿块占据整个右半胸腔,导致右肺几乎完全塌陷。肿块延伸至纵隔,导致观察到的纵隔移位。病灶内未见钙化。此外,右侧第三和第八肋骨后方可见轻微骨膜反应。

HPE 报告
照片
7.jpeg
超声引导下活检取自肿块,组织病理学报告提示为恶性小圆细胞肿瘤

病例讨论
右侧第三和第八肋骨后方可见轻微骨膜反应,为反应性反应,不提示骨源性。肿瘤环绕右肺叶,提示其来源于胸膜。骨外尤文氏肉瘤也可起源于胸壁、肺或纵隔。它是一种恶性肿瘤,通常影响儿童和青少年。

尤文氏肉瘤的组织学诊断并不具有特异性,但影像学特征有助于诊断。

尤文氏肉瘤的免疫组织化学特征是CD99(MIC2)在弥漫性膜状细胞中强表达,该表达敏感性高,但特异性不高。其他标记物包括FLI1和NKX2.2的核表达,这两种基因在尤文氏肉瘤中通常呈阳性,有助于将其与大多数组织学类似物区分开来。BCL11B和GLG1的联合表达在小圆细胞肿瘤中对尤文氏肉瘤具有较高的特异性。
您需要登录后才可以回帖 登录 | 注册
Copyright © 2011-2026 东莞市珍屯医疗科技有限公司Powered by zhentun.com
返回顶部