找回密码
 注册

粟粒性结核和结核性椎间盘炎

作者:大江 | 时间:2025-9-19 16:00:00 | 阅读:181| 显示全部楼层
就诊
咳嗽、咳痰、体重下降。

患者资料
年龄:40岁
性别:女
CT扫描
1.png
CT扫描图像

2.png
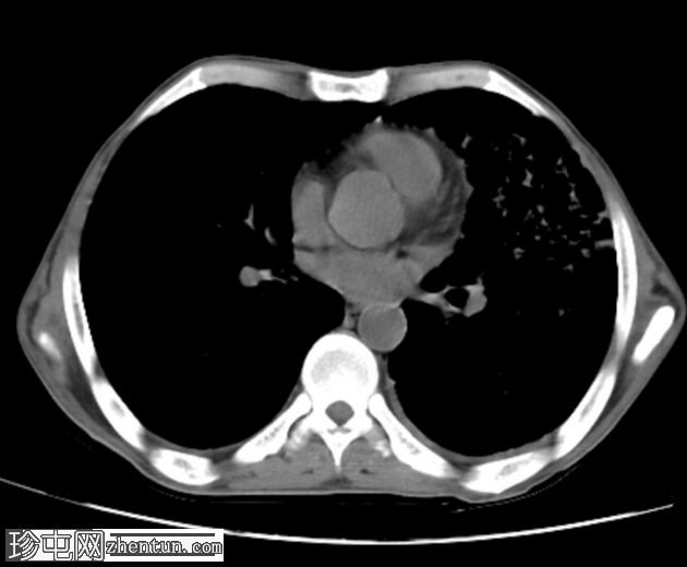
轴向非造影

3.png
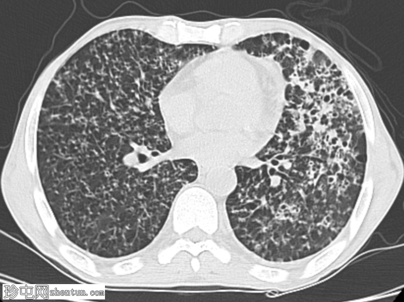
轴向

4.png
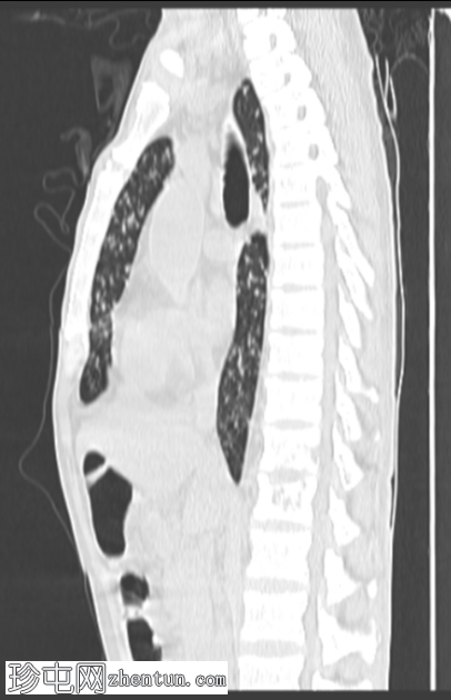
矢状肺窗

5.png
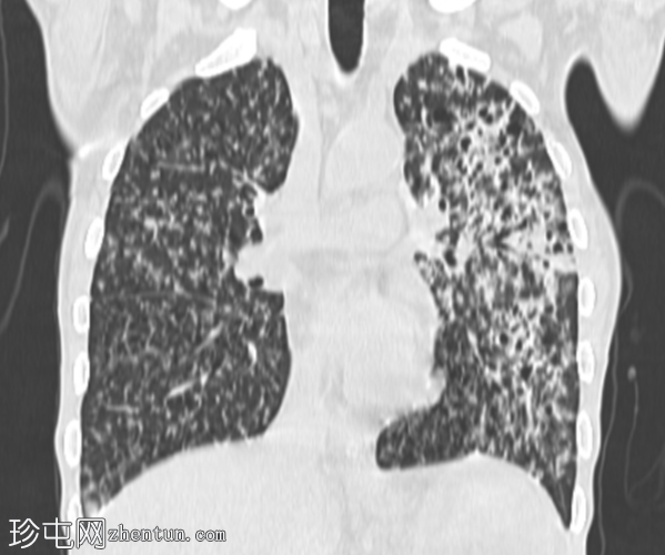
冠状肺窗

6.png
矢状骨窗
CT扫描图像:双侧肺部广泛粟粒性结节。

双侧肺部广泛粟粒性结节及树芽征,伴左上叶空洞及小气腔实变。

T11和T12对侧椎体终板糜烂性改变及皮质下溶骨性病变,伴右侧椎前小软组织病变。

病例讨论
患者痰液抗酸杆菌(AFP)检测阳性,结核病基因检测阳性。

该病例的放射学检查结果高度提示结核病,尤其是粟粒性结节和椎体受累(结核性椎间盘炎)。

粟粒性疾病是由血源性播散至肺部和其他器官所致,其特征是多个2-3毫米的小结节,随机分布。小叶间隔增厚和细小的小叶内网络通常较为明显。
您需要登录后才可以回帖 登录 | 注册
Copyright © 2011-2026 东莞市珍屯医疗科技有限公司Powered by zhentun.com
返回顶部