找回密码
 注册

空洞性肺结核

作者:大江 | 时间:2025-9-19 16:00:00 | 阅读:226| 显示全部楼层
就诊
咳嗽伴痰,低热,体重下降。

患者资料
年龄:20岁
性别:女
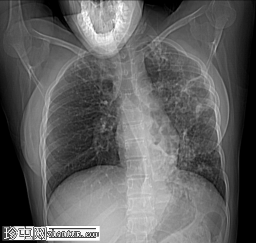
胸部
CT
1.png
地形图

2.png
冠状

3.png
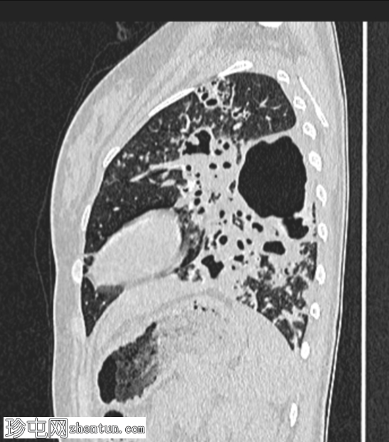
矢状肺窗

4.png
轴向非造影

5.png
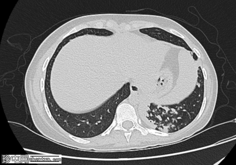
轴向肺窗
双侧肺部可见气腔实变和空洞,肺壁厚(左上叶和左下叶最大),伴支气管周围增厚,多发树芽征和结节征。

Gene Xpert MTB-RIF 检测,痰液结核杆菌阳性

痰涂片抗酸杆菌(3 份),Z.N 染色阳性

病例讨论
活动性肺结核的常见放射学表现包括伴有空洞的实变性肺斑块和继发于支气管内播散的树芽征。

一些研究认为,传统的理论认为,原发性肺结核的特征是淋巴结肿大、积液和中下肺区浸润,这些症状源于近期感染,而上叶浸润和空洞则代表较久远时期获得的继发性或复发性疾病,这种观点缺乏确凿的临床证据。他们认为,从感染到临床疾病发展的时间并不能可靠地预测结核病的影像学表现。

结核病的分子流行病学研究可以比较结核病病例的临床和影像学特征。
您需要登录后才可以回帖 登录 | 注册
Copyright © 2011-2026 东莞市珍屯医疗科技有限公司Powered by zhentun.com
返回顶部