找回密码
 注册

肘部继发性滑膜骨软骨瘤病

作者:大江 | 时间:2025-10-20 12:00:01 | 阅读:116| 显示全部楼层
就诊
左肘慢性疼痛。五年前左肘外伤史。

患者资料
年龄:50岁
性别:女
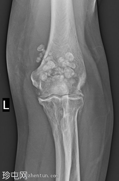
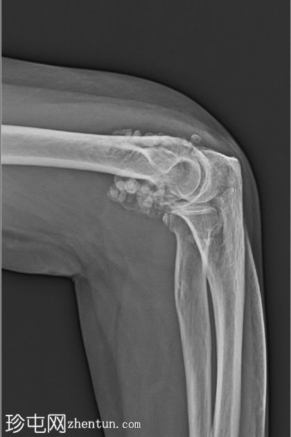
X光片
1.jpeg
正面

2.jpeg
侧面
肘关节内多个边界清晰的钙化/骨化游离体,主要位于前后凹处。关节面不规则、骨赘形成、关节间隙狭窄以及肱骨远端、尺骨近端和桡骨头的软骨下硬化均符合骨关节炎的改变。桡骨头轮廓不规则,并有一条模糊的硬化线,提示为陈旧性愈合骨折。无急性骨折或脱位。

3个病例问题
病例讨论
滑膜骨软骨瘤病是一种滑膜良性化生过程,导致关节内形成多个可能钙化或骨化的软骨结节。

原发性:原发于先前正常的关节,通常见于年轻人;表现为大量均匀的软骨结节和轻微的退行性改变。

继发性:发生于异常关节,通常继发于创伤或骨关节炎,其特征是软骨小体数量较少、大小不一,并伴有明显的退行性改变。

在本例中,患者的远期创伤和影像学骨关节炎特征支持继发性病因。

教学要点

继发性滑膜骨软骨瘤病发生于已有病变的关节,例如创伤或退行性疾病。

典型表现为关节内多个钙化游离体伴有骨关节炎改变。

识别继发性滑膜骨软骨瘤病有助于避免不必要的激进手术,并提醒临床医生注意潜在的关节退行性改变。
您需要登录后才可以回帖 登录 | 注册
Copyright © 2011-2026 东莞市珍屯医疗科技有限公司Powered by zhentun.com
返回顶部