首页
Portal
订阅
产品资料
医疗器械
外科训练
医学论坛
BBS
关于我们
联系我们
登录
立即登录
立即注册
其他登录
QQ
微信
搜索
搜索
本版
文章
帖子
用户
本版
文章
帖子
用户
首页
Portal
订阅
产品资料
医疗器械
外科训练
医学论坛
BBS
关于我们
联系我们
账号
自动登录
找回密码
密码
登录
注册
外科
内科
第三
第四
中医
辅助
执业
教育
专区
好友
帖子
收藏
淘帖
分享
记录
留言板
门户
导读
排行榜
设置
我的收藏
退出
珍屯医学
»
医学论坛
›
外科
›
骨科四肢脊柱手外
›
Pellegrini-Stieda损伤
返回列表
Pellegrini-Stieda损伤
[复制链接]
作者:
大江
|
时间:
2025-10-23 15:00:00
|
阅读:115
|
显示全部楼层
就诊
膝关节
疼痛
。
患者资料
年龄:45岁
性别:女
X光片
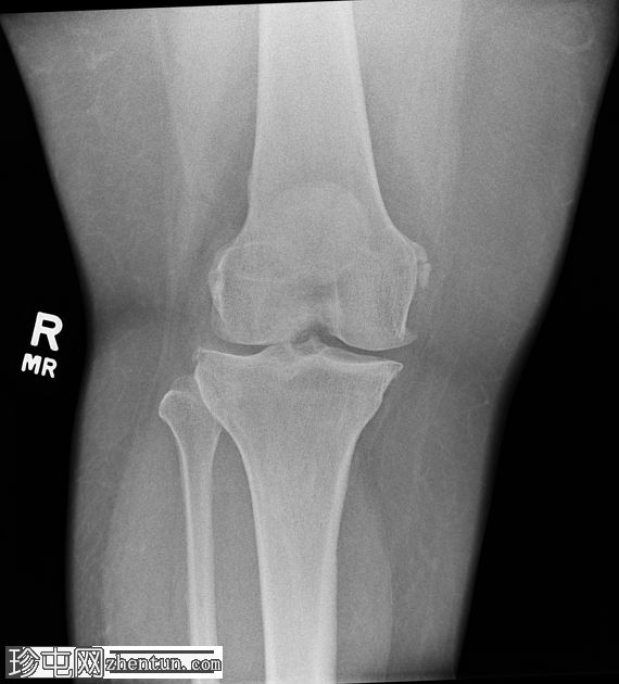
正位片
斜位片
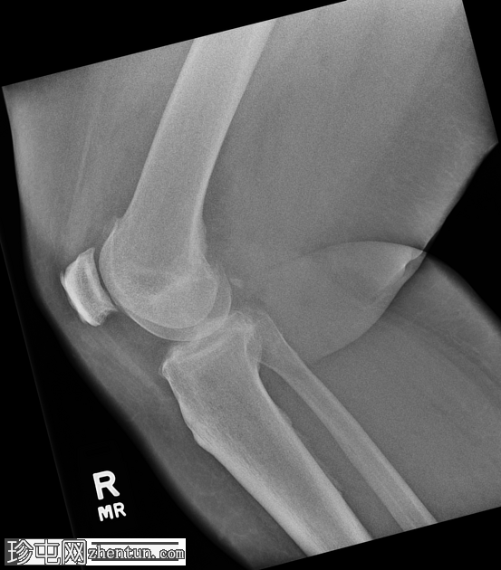
侧位片
右膝中度骨关节炎(3级),表现为内侧胫股关节和髌股关节间隙狭窄,边缘可见骨赘、髌骨骨刺和胫骨棘突。
内侧副韧带近端附着处股骨内侧髁附近可见长圆形软组织骨化,提示为佩莱格里尼-斯蒂达(Pellegrini-Stieda)损伤。
病例讨论
膝关节周围钙化的一个常见部位是内侧副韧带近端附着处的钙化,称为佩莱格里尼-斯蒂达(Pellegrini-Stieda)损伤,这反映了膝关节旧伤累及内侧副韧带并伴有营养不良性钙化。
回复
举报
返回列表
发表新帖
高级模式
B
Color
Image
Link
Quote
Code
Smilies
您需要登录后才可以回帖
登录
|
注册
大江
关注Ta
主题 17556
帖子 16642
积分 42140
此人很懒,什么也没留下。
•
轻松订阅最新动态(简易法)
•
珍屯网“股份”积分策略
•
会员注册规则说明——试行
•
您看好“外资独资办医”吗?欢迎大家投票和讨论
•
为各位医友推荐些好书!可代购
•
无排卵
•
《简明体格检查图解》┊陈清兰,郑智远编著.PDF
•
全国实践技能考试准考证打印一览表
阅读作者更多精彩帖子
热门问答
更多>
0
新月形骨折伴骨盆LC II损伤
62人围观, 发布于2026-01-29
0
三角骨骨折
58人围观, 发布于2026-01-30
0
腰骶移行椎(Castellvi 2b 型)
64人围观, 发布于2026-01-31
0
Hill-Sachs 缺陷伴 Bankart 病变
56人围观, 发布于2026-02-01