找回密码
 注册

桡骨头粉碎性骨折

作者:大江 | 时间:2025-11-1 15:00:00 | 阅读:117| 显示全部楼层
就诊
从自行车上摔下。

患者资料
年龄:35岁
性别:男
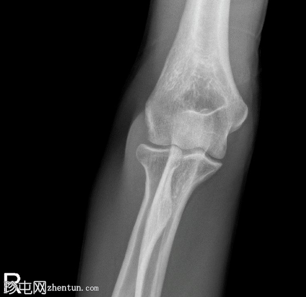
X光片
1.png
斜位片

2.png
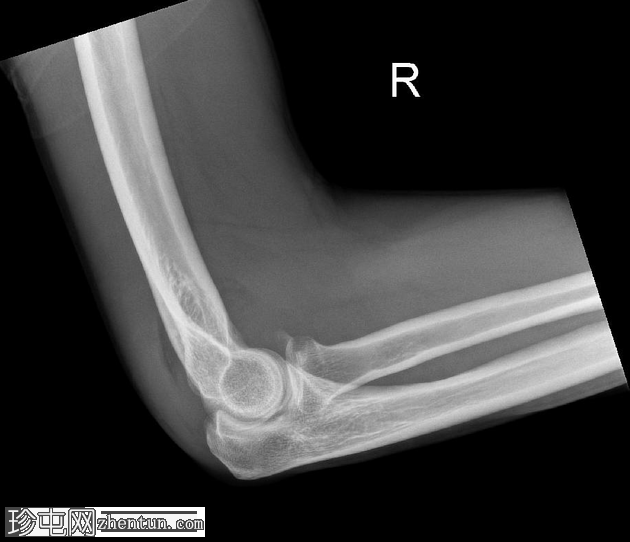
侧位片

3.png
正位片

4.png
侧位片
桡骨头关节内粉碎性骨折,关节面轻微凹陷。肱骨远端前侧可见移位的骨碎片,桡骨头位片上清晰可见。可见前后脂肪垫征,提示肘关节积液。

未见肘关节脱位,肱桡骨小头排列保持正常。冠突水平可见复合阴影,可能与软组织重叠或投影伪影有关。桡骨和尺骨骨干外观完整,无骨折征。周围软组织肿胀。

病例讨论
本例患者前后脂肪垫征均存在,证实存在关节内积液,符合急性关节内损伤的诊断。未见肘关节脱位或相关骨干骨折,提示损伤仅限于桡骨头。

根据影像学特征,该骨折符合 Mason III 型损伤,涉及多个骨折碎片和关节面破坏。此类骨折需要骨科评估,并根据其稳定性和移位情况,选择手术治疗或桡骨头置换术。
您需要登录后才可以回帖 登录 | 注册
Copyright © 2011-2026 东莞市珍屯医疗科技有限公司Powered by zhentun.com
返回顶部