找回密码
 注册

髋臼手枪式握把畸形

作者:大江 | 时间:2025-11-8 15:00:00 | 阅读:153| 显示全部楼层
就诊
踢足球时与其他球员碰撞后,右侧髋关节疼痛

患者资料
年龄:25岁
X光片
1.png
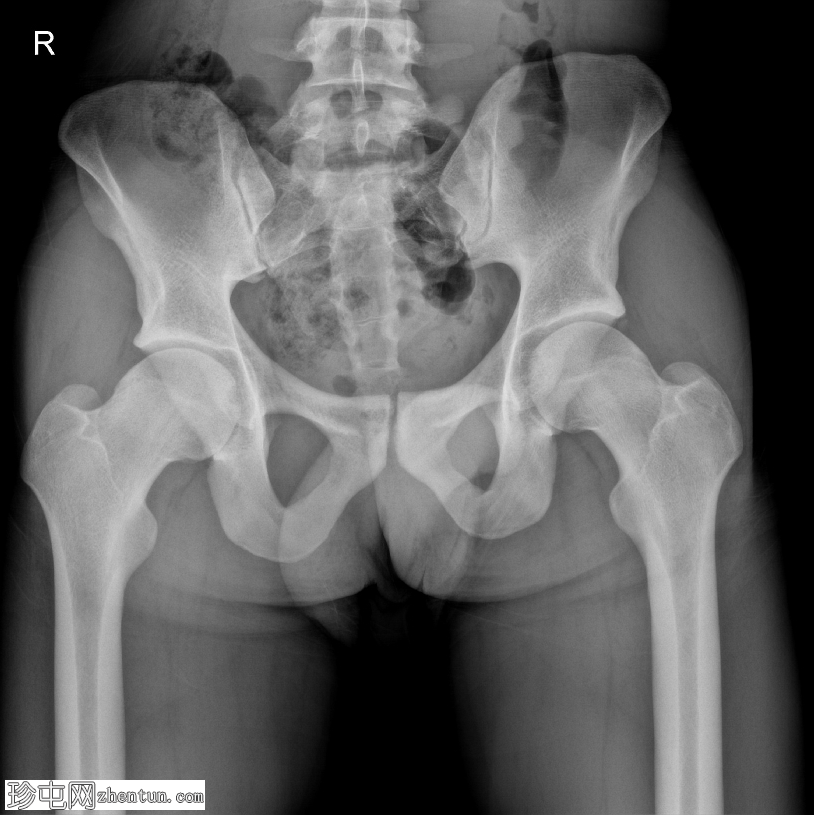
双侧髋关节排列正常,关节间隙保持良好,无急性骨折或脱位征象。左侧髋臼上外侧缘可见一小块皮质良好的听小骨,与髋臼骨相符,系偶然发现。

股骨头颈交界处双侧正常凹陷消失,形成手枪式握把轮廓,右侧更为明显。骶髂关节和耻骨联合外观完整,无明显退行性病变或软组织异常。

病例讨论
髋臼骨是指髋臼缘附近的小骨化碎片,可能代表正常变异(持续性骨化中心),也可能代表由反复机械应力引起的慢性髋臼缘骨折。

手枪式握把畸形表明股骨头和股骨颈之间的偏移减小,这是凸轮式撞击的特征。这种异常形状可能导致髋关节运动时股骨颈和髋臼缘反复接触,从而可能导致盂唇损伤和早期退行性病变 2-4。左侧髋臼骨与双侧手枪式握把畸形共存提示存在股骨髋臼撞击的结构性倾向,如果出现临床症状,可考虑进一步进行 MRI 检查。
您需要登录后才可以回帖 登录 | 注册
Copyright © 2011-2026 东莞市珍屯医疗科技有限公司Powered by zhentun.com
返回顶部